症例詳細
Case detail
銀歯の下の虫歯|生活歯髄療法|VPT|神経を残すための治療|セラッミクインレー
治療症例の内容
- 診療科目
- 治療カテゴリ
- 担当医
- 河野豊嘉(ドクタープロフィール)
- 患者様
- 30代女性
- 治療期間
- 1ヶ月
- 治療回数
- 2-5回
- 治療計画
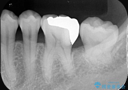
- 銀歯の下に虫歯が見つかりました。一度治療されている歯であり、レントゲン上では虫歯が神経に近い位置まで進行している様子が確認されました。
ただし、自発痛の既往はなく、歯髄診の結果も正常であったため、虫歯除去中に露髄した場合には生活歯髄療法(VPT)を行う方針としました。
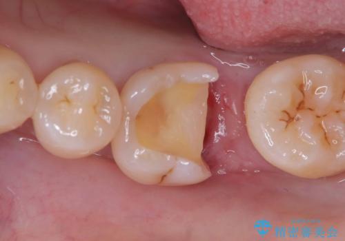
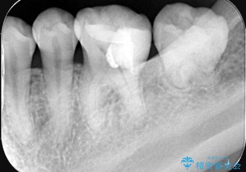
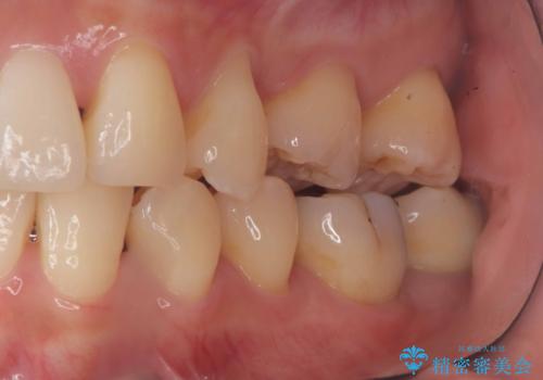
実際の治療ではVPTを施行し、その後痛みなどの症状もなく経過は良好でしたので、最終的にセラミックインレーによる修復を行いました。
- 費用(概算)
- 税込121,000円(生活歯髄療法44,000円+セラミックインレー77,000円)費用は治療当時の料金となります
治療について
生活歯髄療法(VPT)とは、本来であれば虫歯除去中に神経(歯髄)が露出した場合、すべての神経を取り除く「抜髄処置」が必要になります。しかし、術前の検査結果や、顕微鏡下で確認した神経の状態・出血の様子などをもとに判断し、バイオセラミックという生体親和性の高い材料を使用して、汚染された部分の神経のみを除去し、健康な神経は残すことができる治療法です。
この治療によって、神経を保存しながらも、神経のある歯と変わらない機能を保つことが可能になります。
また、長期的に神経を保存していくためには、適合性が高く、経年劣化しにくい材料を使用することが重要です。今回はそうした観点から、セラミックインレーで最終的な修復を行いました。
セラミック治療の注意事項(リスク・副作用など)
- 天然歯を削ります
- 硬い素材は天然歯を傷つけてしまう場合があります
- かみ合わせや歯ぎしりが強すぎる方はセラミックが割れてしまう可能性があります
- 自費診療(保険適用外治療)となります
根管治療の注意事項(リスク・副作用など)
- 根管治療により類似の全ての症例の問題が解決するわけではなく、症例はあくまでも一例です
- 根管治療により痛みや腫れがひかない事や、術後に痛みや腫れが生じる事、治療によるファイル破折やパーフォレーションなどの偶発症、術後の歯根破折を生じる可能性もあります
- 自費診療(保険適用外)となります
当サイトの内容、テキスト、画像等の無断転載、複製、複写、盗用を固く禁じます。








