症例詳細
Case detail
話すのに邪魔な、下顎骨隆起の切除
治療症例の内容
- 担当医
- 大元洋佑(ドクタープロフィール)
- 患者様
- 50代女性
- 治療期間
- 1日
- 治療回数
- 2-5回
- 治療計画
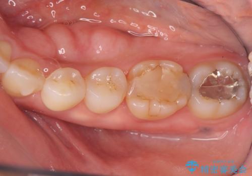
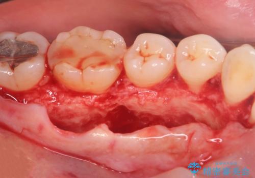
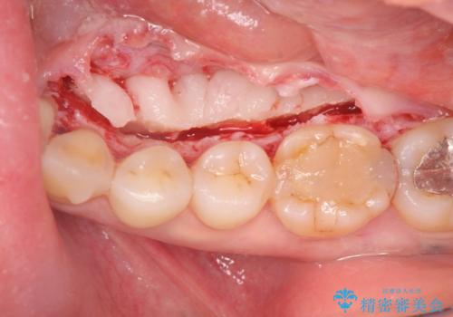
- 矯正治療を開始するのに伴い、滑舌を含めた改善を計るために、発音の邪魔となる下顎骨隆起の切除を計画します。
手術時間は約30分程度(大きさにより)今回は手術中に、静脈麻酔を行うことで負担なく治療を行う計画としました。
- 費用(概算)
- 66,000 (静脈麻酔代を含む)費用は治療当時の料金となります
治療について
長年気になっていた骨隆起が短時間でなくなり、満足いただくことができました。
外科処置の注意事項(リスク・副作用など)
- 外科手術のため、術後に出血、痛みや腫れ、違和感を伴います
- 口腔内の状態によっては適応できないことがあります
当サイトの内容、テキスト、画像等の無断転載、複製、複写、盗用を固く禁じます。









