症例詳細
Case detail
ワイヤー矯正治療中に歯の着色を綺麗に
治療症例の内容
- 診療科目
- 治療カテゴリ
- 患者様
- 30代女性
- 治療期間
- 1日
- 治療回数
- 1回
- 治療計画
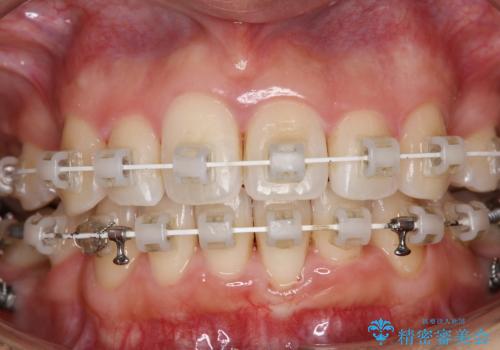
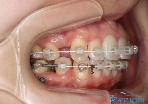
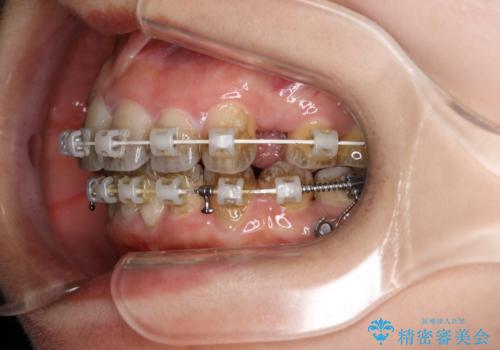
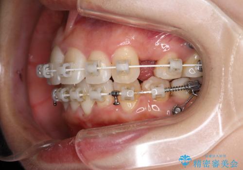
- ワイヤー矯正治療中にクリーニングを希望されました。
日常的にコーヒーを飲むそうで、装置周りの着色が気になるとのことでした。
エアフロー60分コースを行いました。
- 費用(概算)
- ¥14300税込み費用は治療当時の料金となります
治療について
ワイヤー矯正中はブラッシングが難しくなるため、磨き残しが多くなることがあります。
また、矯正で歯の移動があると今までなかったところに隙間が出てきたり、ガタつきが解消されてきたりすることで、お口の中の環境が変わります。
矯正治療中も清潔な口腔内を保つことは、とても大切です。そのため、定期的に専門的な機械・材料を使用したクリーニングを行うことがおススメです。
エアフローとは
エアフローワンは、特殊なパウダーを混ぜた水を水面にジェット噴射することでバイオフィルム(プラーク)・ステイン(着色)・早期歯石を天然歯やインプラント周囲から除去することが可能な歯面清掃器具です。
従来の荒い研磨剤などを用いた歯面への負担が大きいクリーニングとは異なり、歯質の負担を最小限にした歯面清掃と歯周ポケット内のメンテナンスを行えます。
料金(渋谷しらゆり歯科)
エアフローワン60分コース¥14300
(前歯から奥歯)
エアフローワン30分コース¥8800
(前歯メイン)
※歯石や着色の量により範囲は変わります。
担当
渋谷しらゆり歯科 DH橋川
PMTCの注意事項(リスク・副作用など)
- 歯を白くする目的の施術ではありません
- 保険適用外となります
当サイトの内容、テキスト、画像等の無断転載、複製、複写、盗用を固く禁じます。








