症例詳細
Case detail
白い歯、健康な歯は、クリーニングから
治療症例の内容
- 診療科目
- 治療カテゴリ
- 患者様
- 20代女性
- 治療期間
- 1日
- 治療回数
- 1回
- 治療計画
- 患者様からエアフローをやってみたいと言っていただき、実施しました。
- 費用(概算)
- エアフロー 7700円費用は治療当時の料金となります
治療について
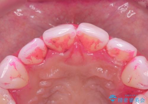
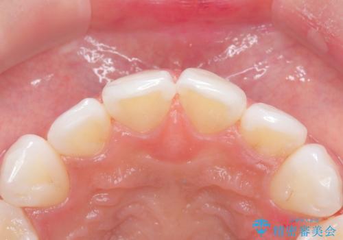
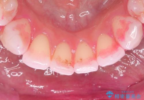
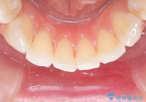
目に見えない汚れも染め出しをする事によって、磨き残しがよくわかります。
また、エアフローはステインも落としてくれるので着色がつきやすい方にもおすすめです。
担当歯科衛生士 三重野
PMTCの注意事項(リスク・副作用など)
- 歯を白くする目的の施術ではありません
- 保険適用外となります
当サイトの内容、テキスト、画像等の無断転載、複製、複写、盗用を固く禁じます。






