症例詳細
Case detail
【セラミッククラウン】銀歯を白くしたい
治療症例の内容
- 診療科目
- 治療カテゴリ
-
- 担当医
- 町田睦月(ドクタープロフィール)
- 患者様
- 50代男性
- 治療期間
- 1ヶ月
- 治療回数
- 2-5回
- 治療計画
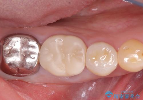
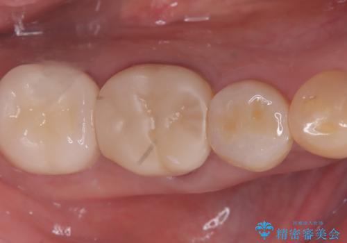
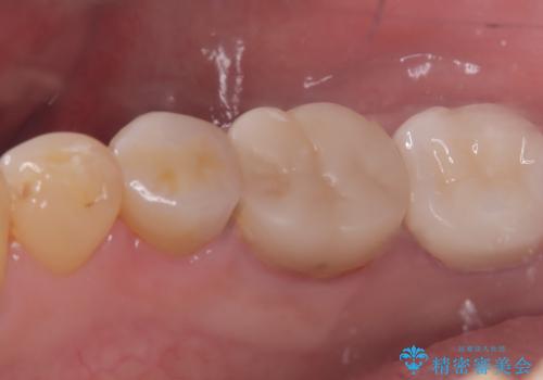
- 主訴:笑った時に下の銀歯が目立つので、白いものに替えたい
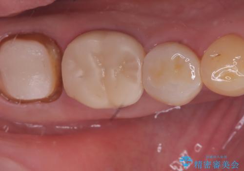
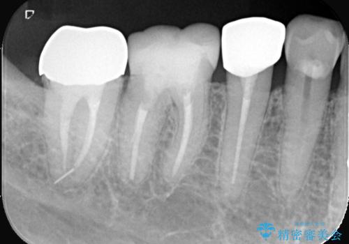
失活歯に保険適応のメタルクラウンがセットされていました。
根尖病巣と根管内に破折ファイルを認め、ファイル除去は困難だということをお伝えし、根管治療・土台・クラウンのやり替えとなりました。
- 費用(概算)
- 132,000円費用は治療当時の料金となります
治療について
根管内破折ファイルの除去が難しいことから、近心根根尖部の洗浄が十分には行えない(病巣が消えない可能性がある)ことを了承いただき治療となりました。
セラミック治療の注意事項(リスク・副作用など)
- 天然歯を削ります
- 硬い素材は天然歯を傷つけてしまう場合があります
- かみ合わせや歯ぎしりが強すぎる方はセラミックが割れてしまう可能性があります
- 自費診療(保険適用外治療)となります
当サイトの内容、テキスト、画像等の無断転載、複製、複写、盗用を固く禁じます。








