症例詳細
Case detail
メタルフリー治療 虫歯になりにくいセラミックインレーへ
治療症例の内容
- 診療科目
- 治療カテゴリ
- 担当医
- 高悠莉(ドクタープロフィール)
- 患者様
- 30代女性
- 治療期間
- 治療回数
- 2-5回
- 治療計画
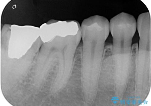
- 笑った際に目立つメタルを白くしたいとのことでご相談に来られた患者様です。下の奥歯にあるメタルインレーは、笑った際に確かに目立ちますが、それ以上にインレー自体の劣化による二次虫歯に注意しなければなりません。審美的・機能的にも優れたセラミックインレーをセットいたしました。術後の経過は良好です。
- 費用(概算)
- 77,000円(税込)費用は治療当時の料金となります
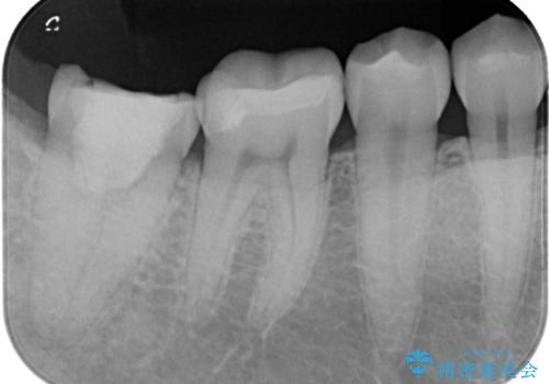
セラミックインレーの術後
金属は真っ白に写ってしまうため、2次虫歯の有無が分かりにくいことが欠点の一つです。セラミック(ジルコニア以外)は、レントゲン写真において、実際のご自身のエナメル質と同じくらいの濃淡で写ります。そのため、定期的なメンテナンスの際に、虫歯が内部で広がっていないかのチェックをすることが可能です。
セラミック治療の注意事項(リスク・副作用など)
- 天然歯を削ります
- 硬い素材は天然歯を傷つけてしまう場合があります
- かみ合わせや歯ぎしりが強すぎる方はセラミックが割れてしまう可能性があります
- 自費診療(保険適用外治療)となります
当サイトの内容、テキスト、画像等の無断転載、複製、複写、盗用を固く禁じます。





