症例詳細
Case detail
【セラミックインレー】虫歯がないか確認してほしい
治療症例の内容
- 診療科目
- 治療カテゴリ
- 担当医
- 町田睦月(ドクタープロフィール)
- 患者様
- 40代男性
- 治療期間
- 治療回数
- 2-5回
- 治療計画
- 主訴:クリーニングと一緒に虫歯がないか確認してほしい
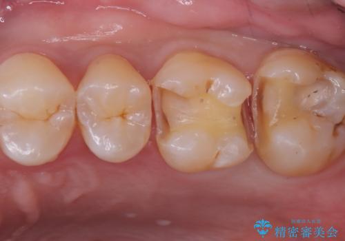
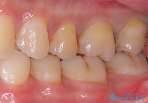
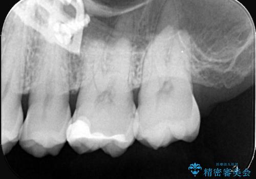
初診でいらした患者様で、口腔内を確認したところ左上6番目と7番目の歯の接する面を中心に両方の歯に虫歯が認められたため、セラミックインレーでの修復治療となりました。
- 費用(概算)
- 154,000円費用は治療当時の料金となります
治療について
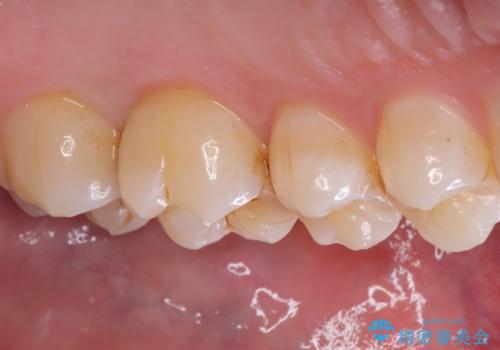
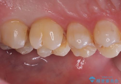
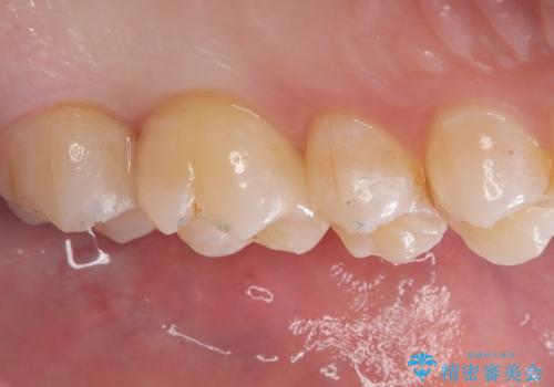
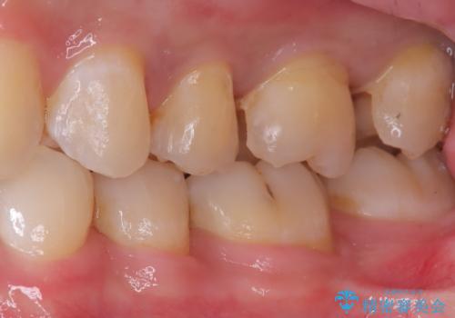
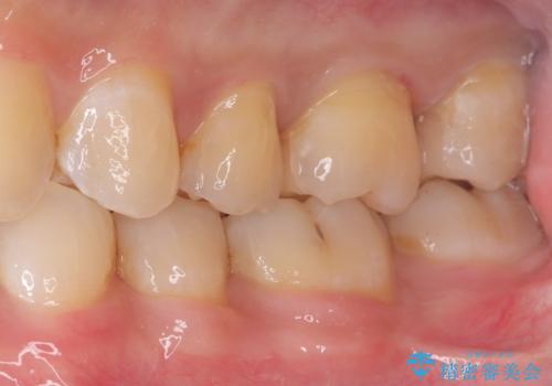
左上6番の歯には元々修復物が入っていましたが、それも一度除去し新たにMOD窩洞のセラミックインレーをセットしました。
左上7番咬合面裂溝の着色部分は今後エアフロー等を使用し落としていく予定です。
セラミックインレーセット時はラバーダム防湿を行っています。
セラミック治療の注意事項(リスク・副作用など)
- 天然歯を削ります
- 硬い素材は天然歯を傷つけてしまう場合があります
- かみ合わせや歯ぎしりが強すぎる方はセラミックが割れてしまう可能性があります
- 自費診療(保険適用外治療)となります
当サイトの内容、テキスト、画像等の無断転載、複製、複写、盗用を固く禁じます。











