症例詳細
Case detail
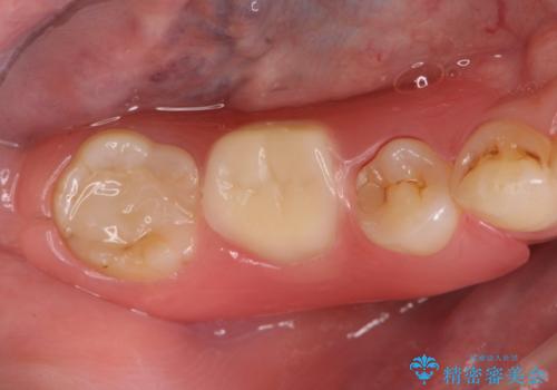
審美性に優れるノンクラスプデンチャー
治療症例の内容
- 担当医
- 大元洋佑(ドクタープロフィール)
- 患者様
- 50代女性
- 治療期間
- 1ヶ月
- 治療回数
- 2-5回
- 治療計画
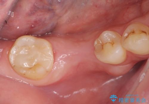
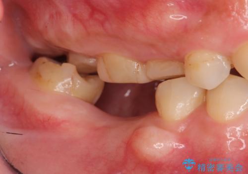
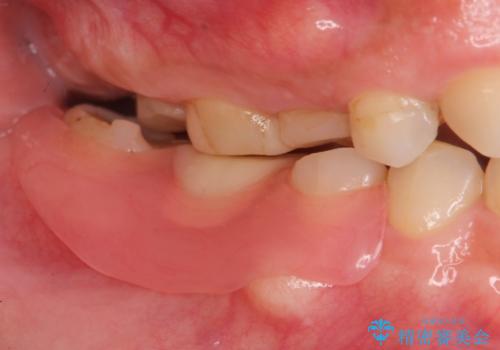
- 欠損し、放置していた奥歯に審美性に優れる入れ歯を作製したいと希望され来院されました。
ノンクラスプデンチャーは、入れ歯に通常ついている目立つ銀色のバネがないため審美性に優れる入れ歯です。
- 費用(概算)
- 16.5万円費用は治療当時の料金となります
治療について
ノンクラスプデンチャーは、ブリッジのように隣りの歯を削る必要もなく、インプラントのように手術も必要ない方法です。
入れ歯の注意事項(リスク・副作用など)
- ブリッジやインプラントと比較して、色が合いづらい、見た目の違和感があります
- ブリッジやインプラントと比較して、話しにくい、舌が当たる等の違和感があります
- 慣れるまで微調整で何度か通って頂くことがあります
- 就寝時や食後に毎回取り外して、清掃する必要があります
- 自費診療(保険適用外)となります
当サイトの内容、テキスト、画像等の無断転載、複製、複写、盗用を固く禁じます。






