症例詳細
Case detail
イベント前にエアフローで口元を綺麗に
治療症例の内容
- 診療科目
- 治療カテゴリ
- 患者様
- 20代女性
- 治療期間
- 1日
- 治療回数
- 1回
- 治療計画
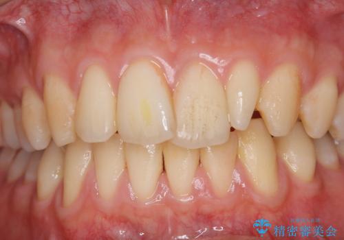
- しばら紀く歯医者でのクリーニングはしていない、20代女性の方です。
イベントがあるため、清潔感のある綺麗な口元にしたいとのことでした。
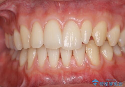
エアフロー30分コースを行いました。
全体の黄ばみが取れてかなり明るい口元になりました。
- 費用(概算)
- ¥8800税込み費用は治療当時の料金となります
エアフローとは
エアフローワンは、特殊なパウダーを混ぜた水を水面にジェット噴射することでバイオフィルム(プラーク)・ステイン(着色)・早期歯石を天然歯やインプラント周囲から除去することが可能な歯面清掃器具です。
従来の荒い研磨剤などを用いた歯面への負担が大きいクリーニングとは異なり、歯質の負担を最小限にした歯面清掃と歯周ポケット内のメンテナンスを行えます。
料金(渋谷しらゆり歯科)
エアフローワン60分コース¥14300
(前歯から奥歯)
エアフローワン30分コース¥8800
(前歯メイン)
※歯石や着色の量により範囲は変わります。
担当
渋谷しらゆり歯科 DH橋川
PMTCの注意事項(リスク・副作用など)
- 歯を白くする目的の施術ではありません
- 保険適用外となります
当サイトの内容、テキスト、画像等の無断転載、複製、複写、盗用を固く禁じます。




