症例詳細
Case detail
歯の着色にはエアーフロー
治療症例の内容
- 診療科目
- 治療カテゴリ
- 患者様
- 20代男性
- 治療期間
- 1日
- 治療回数
- 1回
- 治療計画
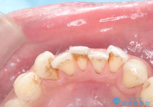
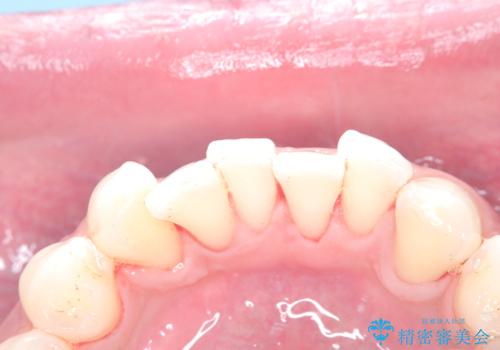
- 濃い着色はホワイトニングでは落ちないためエアーフローをお勧めいたします。定期的にホワイトニングをやっているので白さはキープしていた方なので仕上がりは綺麗になりとてもご満足いただけました。
着色が付きやすい飲み物や歯並びなどの原因もあることもアドバイスさせていただきました。
矯正も考え中とのことでした。
- 費用(概算)
- エアフロー 7,700円費用は治療当時の料金となります
エアーフローについて
PMTCのブラシが入りづらい歯間部にもエアーフローは対応できより綺麗になります。
歯に付着しているバイオフィルムも落とすことができ、状態によっては染め出しを行いみていただきながらやっています。
とてもご満足いただけました。
衛生士 内海
PMTCの注意事項(リスク・副作用など)
- 歯を白くする目的の施術ではありません
- 保険適用外となります
当サイトの内容、テキスト、画像等の無断転載、複製、複写、盗用を固く禁じます。




