症例詳細
Case detail
虫歯治療|歯を長持ちさせるための治療|セラッミクインレー|審美回復
治療症例の内容
- 診療科目
- 治療カテゴリ
- 担当医
- 河野豊嘉(ドクタープロフィール)
- 患者様
- 40代男性
- 治療期間
- 1ヶ月
- 治療回数
- 2-5回
- 治療計画
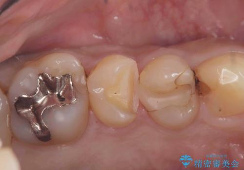
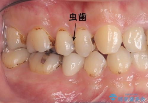
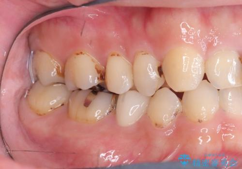
- CRの下が虫歯になっており歯が欠けている状態でした。古いCRと虫歯を除去しセラッミクインレーで治療しました。
- 費用(概算)
- 77,000円費用は治療当時の料金となります
治療について
CRが劣化し虫歯になり欠けている状態でした。歯を長持ちさせるために(再治療を減らす)セラッミクインレーで治療を行いました。
右上4のCRも劣化していてかつ形態も良くないので治療の必要性はご説明させていただきました。
セラミック治療の注意事項(リスク・副作用など)
- 天然歯を削ります
- 硬い素材は天然歯を傷つけてしまう場合があります
- かみ合わせや歯ぎしりが強すぎる方はセラミックが割れてしまう可能性があります
- 自費診療(保険適用外治療)となります
当サイトの内容、テキスト、画像等の無断転載、複製、複写、盗用を固く禁じます。







