症例詳細
Case detail
セラミックインレー 虫歯の治療
治療症例の内容
- 診療科目
- 治療カテゴリ
- 担当医
- 瀧村怜未(ドクタープロフィール)
- 患者様
- 30代女性
- 治療期間
- 1ヶ月
- 治療回数
- 2-5回
- 治療計画
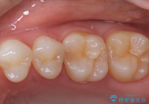
- クリーニング時に治療が必要な大きさの虫歯が見つかりました。
審美性と材料の安定性からセラミックでの修復を行うこととなりました。
- 費用(概算)
- 77,000円費用は治療当時の料金となります
治療について
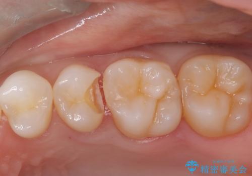
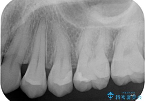
う蝕を除去し、CRにて裏層をし、セラミックインレーにて修復しました。
ラバーダム防湿をした上で、接着しました。
セラミック治療の注意事項(リスク・副作用など)
- 天然歯を削ります
- 硬い素材は天然歯を傷つけてしまう場合があります
- かみ合わせや歯ぎしりが強すぎる方はセラミックが割れてしまう可能性があります
- 自費診療(保険適用外治療)となります
当サイトの内容、テキスト、画像等の無断転載、複製、複写、盗用を固く禁じます。





