症例詳細
Case detail
歯がずっと疼く 根本的な治療の希望
治療症例の内容
- 診療科目
- 治療カテゴリ
- 担当医
- 大元洋佑(ドクタープロフィール)
- 患者様
- 50代男性
- 治療期間
- 8ヶ月
- 治療回数
- 10-30回
- 治療計画
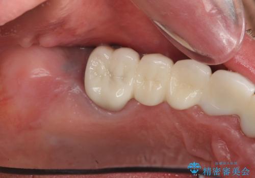
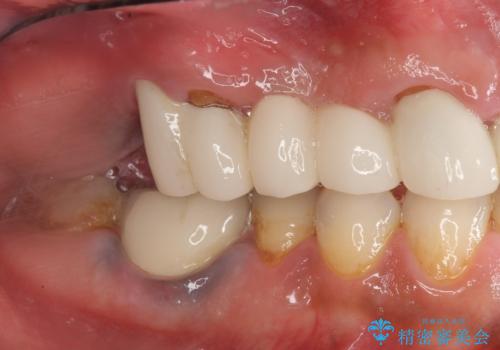
- 歯が疲れるとうずき、気持ちが悪い、しっかりと噛めない気がする。と改善を求めて来院されました。
数年前にセラミック歯を入れたが、調子が悪いので今回は根本的にしっかりと治したい。とも希望されました。
X線写真検査より、根尖病変に加え、歯周病による歯槽骨の吸収も見られ、歯質も薄く保存は難しいと判断し、
インプラント治療を進めることとなりました。
- 費用(概算)
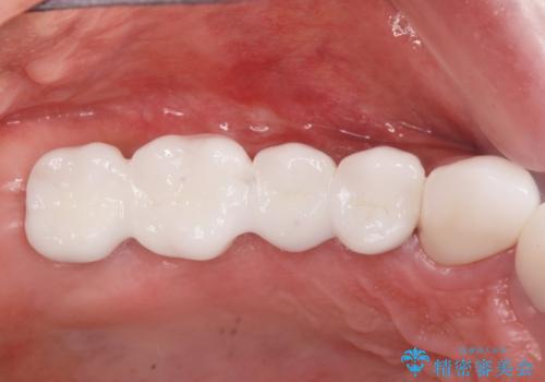
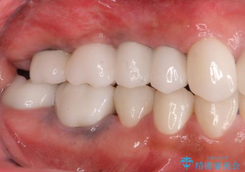
- 165万円(インプラント×3・チタンカスタムアバットメント×3・ジルコニアクラウン×4・仮歯×6)費用は治療当時の料金となります
治療について
長らく気になっていた歯ぐきの疼くような感じや、咬合機能が改善され、満足いただくことができました。
インプラント治療の注意事項(リスク・副作用など)
- 外科手術のため、術後に痛みや腫れ、違和感を伴います
- メンテナンスを怠ったり喫煙により、お口の中に大きな悪影響を及ぼすインプラント周囲炎等にかかる可能性があります
- 糖尿病、肝硬変、心臓病等の場合、インプラント治療ができない可能性があります
- 高血圧、貧血・不整脈等の場合、インプラント治療後に治癒不全を招く可能性があります
- 自費診療(保険適用外治療)となります
当サイトの内容、テキスト、画像等の無断転載、複製、複写、盗用を固く禁じます。








