症例詳細
Case detail
保険材料をセラミックにやり変えたい セラミックインレー
治療症例の内容
- 診療科目
- 治療カテゴリ
- 担当医
- 小澤俊哉(ドクタープロフィール)
- 患者様
- 50代男性
- 治療期間
- 1ヶ月
- 治療回数
- 2-5回
- 治療計画
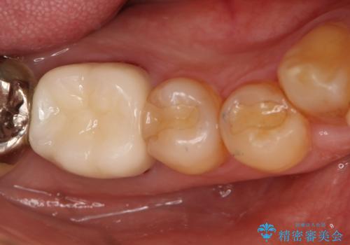
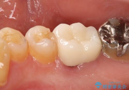
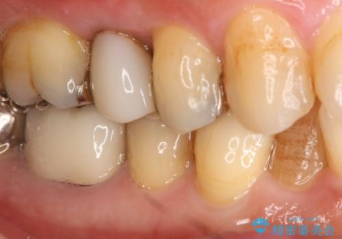
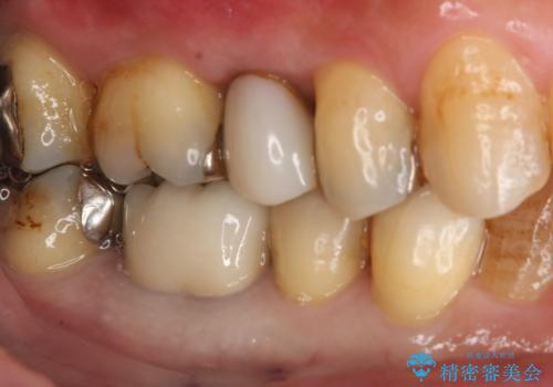
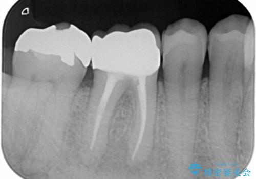
- 保険で治療された右下5番をセラミックにやり変え希望の患者様です。
切削量などを考慮し、セラミックインレーでの治療を選択しました。
- 費用(概算)
- 77,000円費用は治療当時の料金となります
治療について
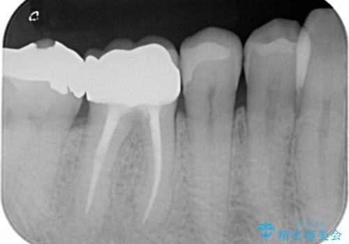
古い材料と虫歯を全て除去した上で形成・印象を行い、セラミックインレーを装着しています。
セラミック治療の注意事項(リスク・副作用など)
- 天然歯を削ります
- 硬い素材は天然歯を傷つけてしまう場合があります
- かみ合わせや歯ぎしりが強すぎる方はセラミックが割れてしまう可能性があります
- 自費診療(保険適用外治療)となります
当サイトの内容、テキスト、画像等の無断転載、複製、複写、盗用を固く禁じます。











