症例詳細
Case detail
下顎前歯の先天欠損と上顎前歯のクロスバイト:インビザライン治療
治療症例の内容
- 診療科目
- 治療カテゴリ
- 担当医
- 患者様
- 20代女性
- 矯正装置
- インビザライン
- 治療期間
- 1年
- 治療回数
- 10-30回
- 治療計画
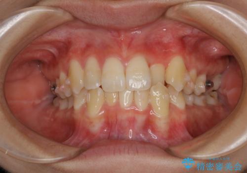
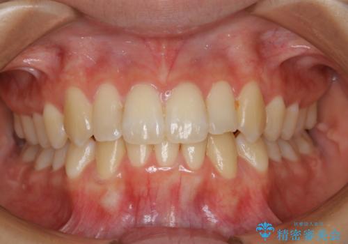
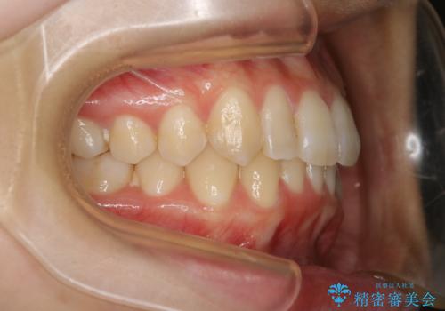
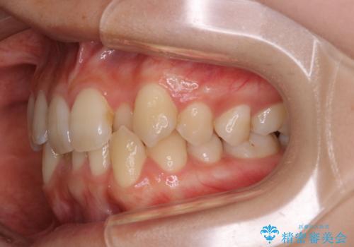
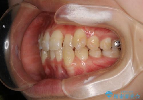
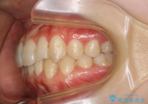
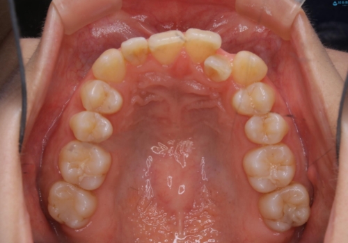
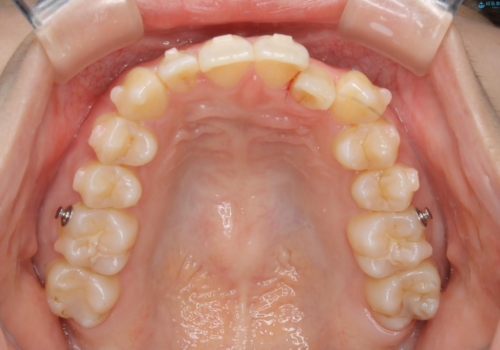
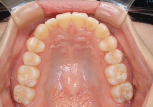
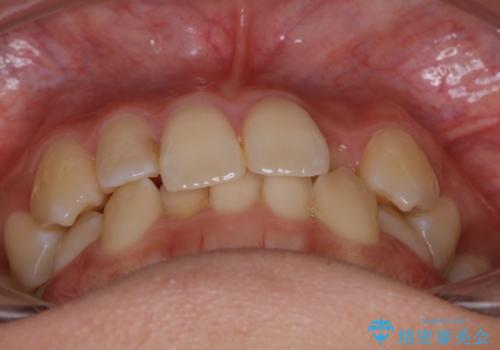
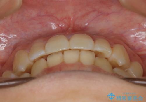
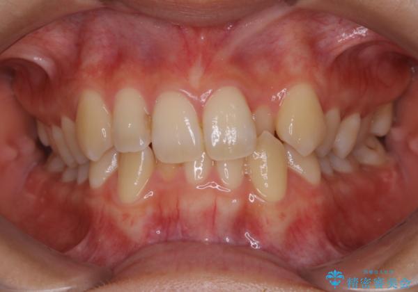
- 上の前歯が1本後ろに入ってしまっていることが気になるとご相談にいらした方です。
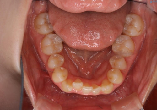
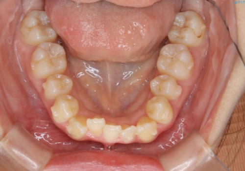
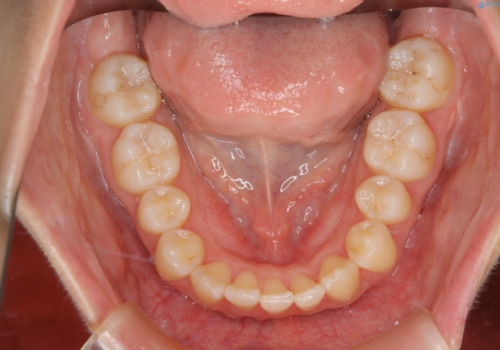
元々下の前歯が1本欠損しており、上下の噛み合わせや、歯のサイズバランスを考慮しながら治療を行いました。
- 費用(概算)
- 83万円(税込み)費用は治療当時の料金となります
治療について
クロスバイトしている歯が深く噛み込んでおり、この歯を外に出してくる際に強い咬合力が加わると歯が失活する恐れがあることを説明し、合わせて咬筋へのボトックス注入を行いました。
下顎切歯が1本欠損しているため、上顎前歯部を少しずつストリッピングして、上下の噛み合わせ、バランスの向上を図りました。
マウスピース矯正の注意事項(リスク・副作用など)
- 口腔内・歯並びの状態によっては対応できない場合があります
- マウスピース型矯正装置の長時間装着(1日20時間以上)が必須です
- 治療計画通りに進めるためには、患者様の意志が重要になります
- 矯正治療後の保定が不十分だと後戻り(元の位置に戻ろうとする動き)をします
- 薬機法対象外の矯正歯科装置のため医薬品副作用被害救済制度の対象外となる場合があります
- 自費診療(保険適用外)となります
当サイトの内容、テキスト、画像等の無断転載、複製、複写、盗用を固く禁じます。





















