症例詳細
Case detail
奥歯のスペースを埋めたい フルジルコニアブリッジ
治療症例の内容
- 診療科目
- 治療カテゴリ
- 担当医
- 小澤俊哉(ドクタープロフィール)
- 患者様
- 50代女性
- 治療期間
- 1ヶ月
- 治療回数
- 2-5回
- 治療計画
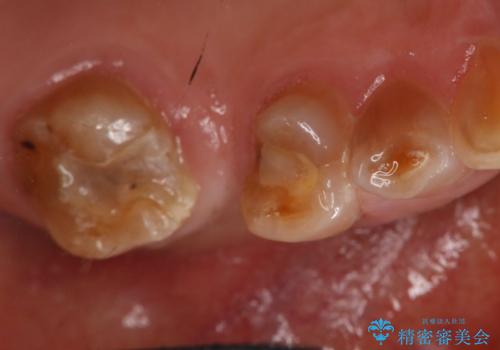
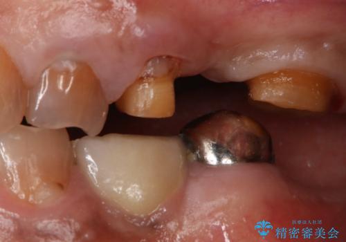
- 左上臼歯部に保険のブリッジを入れていたがすぐに取れてしまったので自費治療でのやり変えを希望された患者様です。
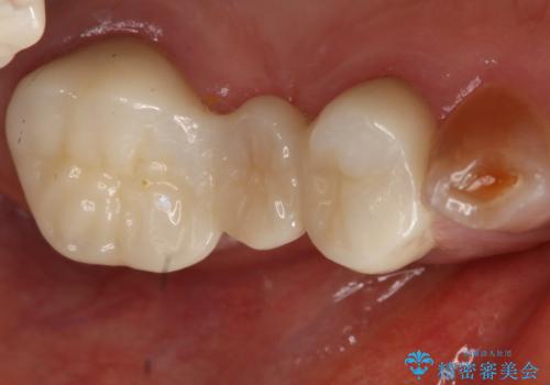
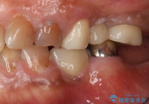
インプラントとブリッジを提案しましたが時間をかけたくないとのことだったので、ブリッジでの治療を選択しました。
左上6番が大きく傾いているため、露髄や痛みが出る可能性を事前にお伝えしています。
- 費用(概算)
- 297,000円(フルジルコニアクラウン、仮歯それぞれ3本分)費用は治療当時の料金となります
治療について
露髄や痛みなどの症状も出ず、経過は良好です。
セラミック治療の注意事項(リスク・副作用など)
- 天然歯を削ります
- 硬い素材は天然歯を傷つけてしまう場合があります
- かみ合わせや歯ぎしりが強すぎる方はセラミックが割れてしまう可能性があります
- 自費診療(保険適用外治療)となります
当サイトの内容、テキスト、画像等の無断転載、複製、複写、盗用を固く禁じます。











