症例詳細
Case detail
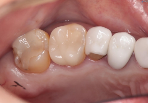
メタルの下に虫歯 セラミックインレーにて治療
治療症例の内容
- 診療科目
- 治療カテゴリ
- 担当医
- 高悠莉(ドクタープロフィール)
- 患者様
- 20代女性
- 治療期間
- 1ヶ月
- 治療回数
- 2-5回
- 治療計画
- 他院で治療した後にでき、当院で経過観察していた虫歯をセラミック修復にて治療させていただいた患者様です。当院では定期的にレントゲン写真を撮影しており、小さな虫歯が大きくならないように口腔衛生指導を行っております。もし虫歯が大きくなってきてしまった場合、症状が出る前にこのように治療をすることが可能です。術後も経過良好です。
- 費用(概算)
- 77,000円(税込)費用は治療当時の料金となります
麻酔について
必ず、麻酔がしっかりと効いていることを確認してから治療を進めています。他院で麻酔が効きにくく、歯科治療自体がご不安な方もぜひご相談ください。
セラミック治療の注意事項(リスク・副作用など)
- 天然歯を削ります
- 硬い素材は天然歯を傷つけてしまう場合があります
- かみ合わせや歯ぎしりが強すぎる方はセラミックが割れてしまう可能性があります
- 自費診療(保険適用外治療)となります
当サイトの内容、テキスト、画像等の無断転載、複製、複写、盗用を固く禁じます。





