症例詳細
Case detail
低予算・短期間での歯並び改善:インビザライン治療
治療症例の内容
- 担当医
- 患者様
- 20代男性
- 矯正装置
- インビザラインFULL
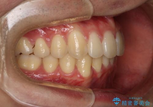
- 治療期間
- 1年7ヶ月
- 治療回数
- 10-30回
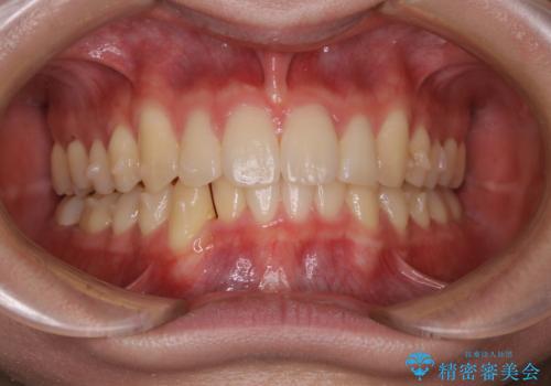
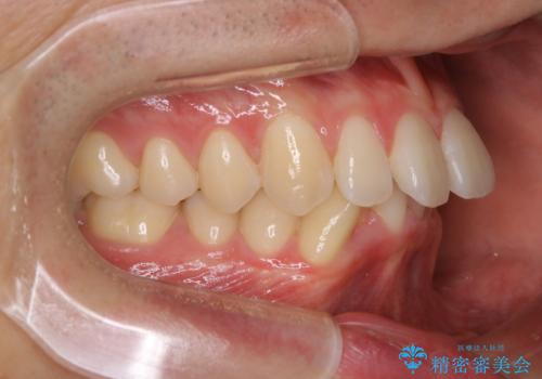
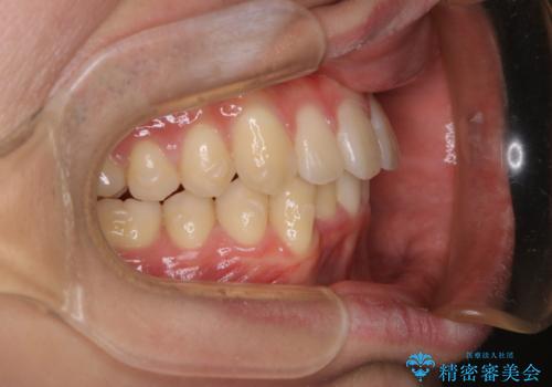
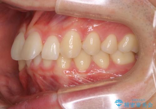
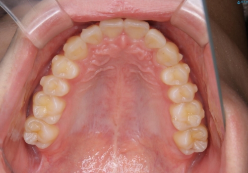
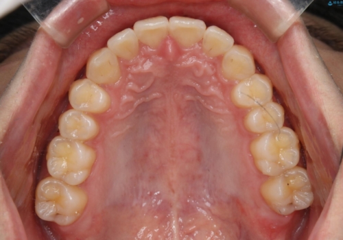
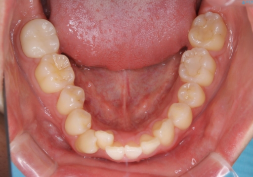
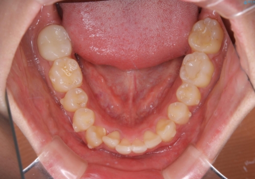
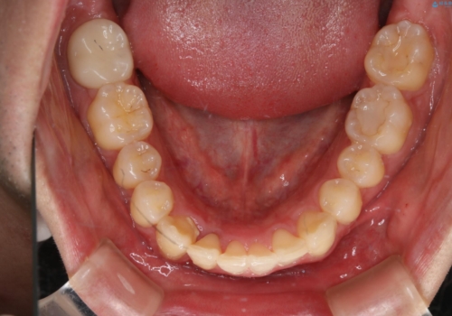
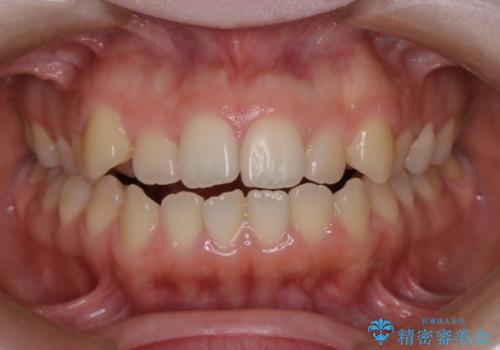
- 治療計画
- 口元の突出感は気にならないが、上の前歯の角度と、下の前歯のがたつきが気になるとご相談にいらした方です。なるべく費用や治療期間を抑えて治療したいとのご希望に合わせて治療を計画しました。
- 費用(概算)
- 77万円(税込み)費用は治療当時の料金となります
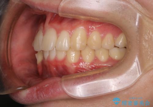
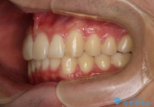
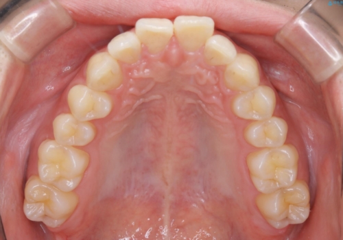
治療について
この患者様への治療方針として、奥歯から少しずつ歯を移動させる方法と、歯をわずかに削って並べる方法とをご提案しました。短期間での治療を望まれたため、歯をサイズダウンさせて歯を並べました。わずかではあるものの、削った歯は元には戻せないことを十分ご説明し、ご理解ご了承を頂いた上で治療を行いました。
マウスピース矯正の注意事項(リスク・副作用など)
- 口腔内・歯並びの状態によっては対応できない場合があります
- マウスピース型矯正装置の長時間装着(1日20時間以上)が必須です
- 治療計画通りに進めるためには、患者様の意志が重要になります
- 矯正治療後の保定が不十分だと後戻り(元の位置に戻ろうとする動き)をします
- 薬機法対象外の矯正歯科装置のため医薬品副作用被害救済制度の対象外となる場合があります
- 自費診療(保険適用外)となります
当サイトの内容、テキスト、画像等の無断転載、複製、複写、盗用を固く禁じます。



















