症例詳細
Case detail
歯周病治療とエアーフロー
治療症例の内容
- 治療カテゴリ
- 患者様
- 30代男性
- 治療期間
- 2ヶ月
- 治療回数
- 2-5回
- 治療計画
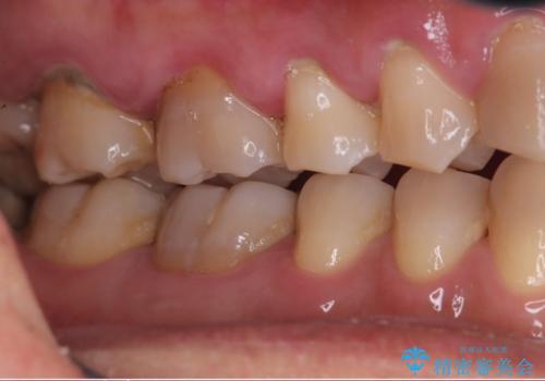
- 学生の頃、前歯をぶつけ歯科を受診したがまだ成長期のため、積極的治療は避けようと言われ十年以上歯科にかかっていなかった患者様です。
前歯は触れると抜けそうで全体的には歯肉の腫れも著しく歯石が沢山ついている状態でした。
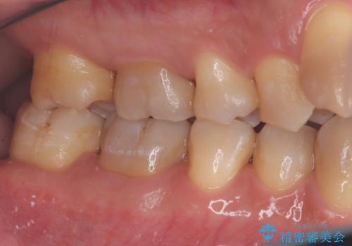
歯肉の中にも歯石がついていため細かいスケーリングを何回かに分けて行い、日々の歯磨きのポイントを伝えた所、歯肉の出血や腫れも良くなり、前歯の治療も意欲的に受けられえています。
- 費用(概算)
- エアフロー 7700円と保険治療費費用は治療当時の料金となります
治療について
エアーフローは着色やバイオフィルムを取り除き歯もツルツルになり、
歯肉炎や歯周病、虫歯の予防になります。
歯周病検査の1つであるポケット測定も数か月に一度おすすめしています。
衛生士 内海
歯周病治療の注意事項(リスク・副作用など)
- 外科手術のため、術後に痛みや腫れ、違和感を伴います
- 歯周組織再生治療は患者様の状態によって術後の経過が異なります(見た目が改善しない場合もあります)
- 歯周組織再生治療は自費診療(保険適用外)となります
当サイトの内容、テキスト、画像等の無断転載、複製、複写、盗用を固く禁じます。




