症例詳細
Case detail
ホワイトニング症例
治療症例の内容
- 診療科目
- 治療カテゴリ
- 患者様
- 30代女性
- 治療期間
- 1日
- 治療回数
- 1回
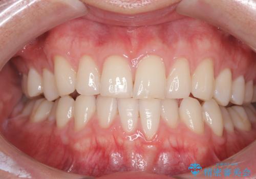
- 治療計画
- 矯正をされてから審美に興味が出てエアーフローやホワイトニングをメンテ時定期的にされている方です。
最初は7700円のコースでしたが今回初めてエクセレントコースで施術
- 費用(概算)
- 20,790円費用は治療当時の料金となります
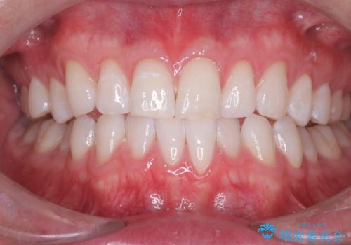
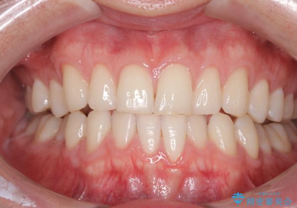
ホワイトニング
ご家族からは白いと言われていたようですがご本人は更に白くしたいとのこと。施術後喜ばれてました。
歯科衛生士 浅川
ホワイトニングの注意事項(リスク・副作用など)
- 知覚過敏が出ることがあります
- ホワイトバンドや白い斑点が出ることがあります
- クラウンやインレー等の補綴物には効果がありません
- ホワイトニングによる効果や持続期間には個人差があります
- 歯牙の状態によっては適応できないことがあります
- 保険適用外となります
当サイトの内容、テキスト、画像等の無断転載、複製、複写、盗用を固く禁じます。


