症例詳細
Case detail
しぶといステインもエアフローワンで1日でキレイに!!
治療症例の内容
- 診療科目
- 治療カテゴリ
- 患者様
- 20代男性
- 治療期間
- 1日
- 治療回数
- 1回
- 治療計画
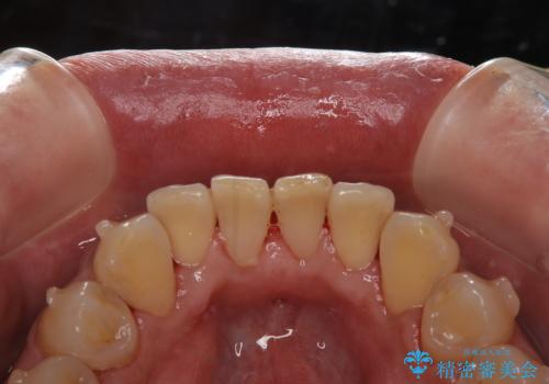
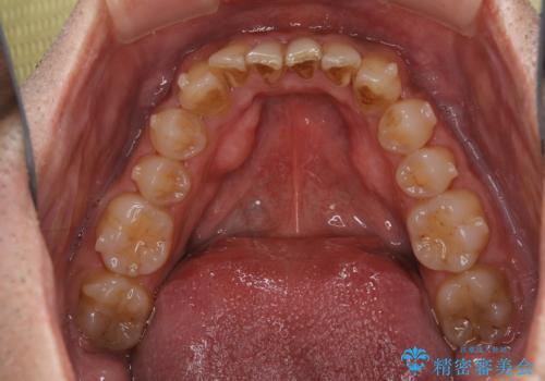
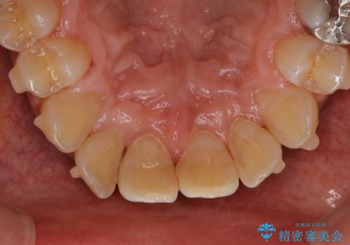
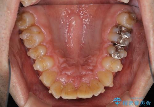
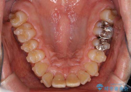
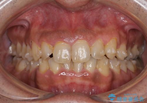
- インビザラインの治療中ですが、歯石やステインが気になるとのことでした。
コーヒーが大好きでよく飲むそうです。
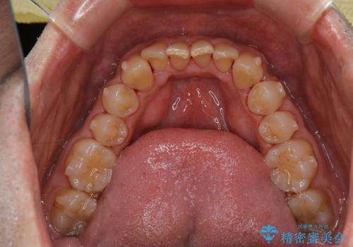
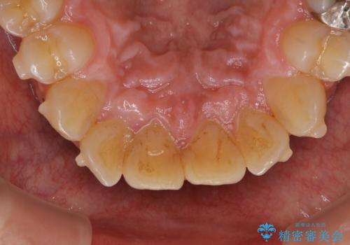
全体的に歯石やステインが付着していたため、エアフロー60分コースを行いました。
- 費用(概算)
- ¥14300税込み費用は治療当時の料金となります
エアフローとは
【新しいコンセプトで予防とメンテナンスを実現!!必要以上に歯を傷つけず、最小限のパワーで取り除く】
エアフローワンは、特殊なパウダーを混ぜた水を水面にジェット噴射することでバイオフィルム(プラーク)・ステイン(着色)・早期歯石を天然歯やインプラント周囲から除去することが可能な歯面清掃器具です。
従来の荒い研磨剤などを用いた歯面への負担が大きいクリーニングとは異なり、歯質の負担を最小限にした歯面清掃と歯周ポケット内のメンテナンスを行えます。
コーヒーによる歯の着色の原因
歯の表面は『ペリクル』と言われる被膜で覆われています。
そのペリクルはエナメル質を保護する働きや、再石灰化を促す働きがあります。
コーヒーの中には、ポリフェノールが含まれていますが、ポリフェノールとペリクルが結合すると色素沈着を起こします。
料金(渋谷しらゆり歯科)
エアフローワン60分コース¥14300
(前歯から奥歯)
エアフローワン30分コース¥8800
(前歯メイン)
※歯石や着色の量により範囲は変わります。
担当
渋谷しらゆり歯科 DH橋川
PMTCの注意事項(リスク・副作用など)
- 歯を白くする目的の施術ではありません
- 保険適用外となります
当サイトの内容、テキスト、画像等の無断転載、複製、複写、盗用を固く禁じます。













