症例詳細
Case detail
【セラミックインレー】プラスチックの劣化が気になる
治療症例の内容
- 診療科目
- 治療カテゴリ
- 担当医
- 町田睦月(ドクタープロフィール)
- 患者様
- 40代女性
- 治療期間
- 1ヶ月
- 治療回数
- 2-5回
- 治療計画
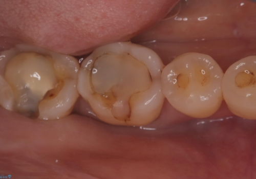
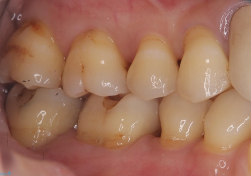
- 主訴:プラスチックの劣化が気になる。
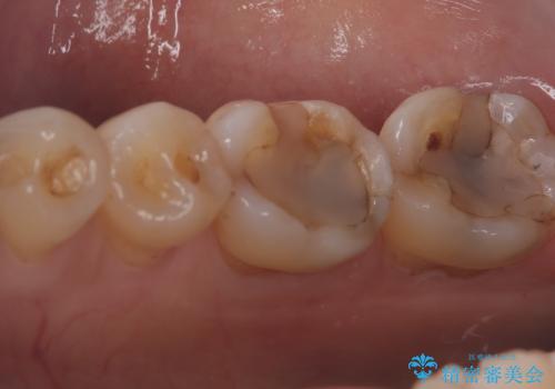
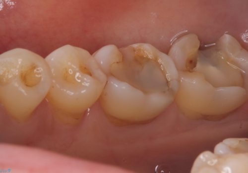
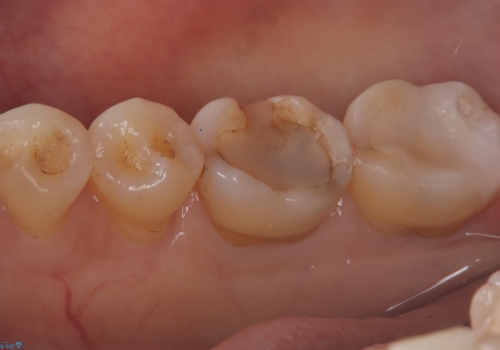
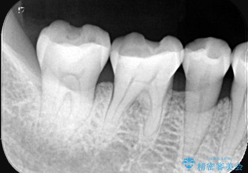
咬合面にCR(コンポジットレジン)修復が広範囲にされており、劣化のしにくさや審美性からセラミックインレーでのやり替えとなりました。
- 費用(概算)
- 77,000円費用は治療当時の料金となります
治療について
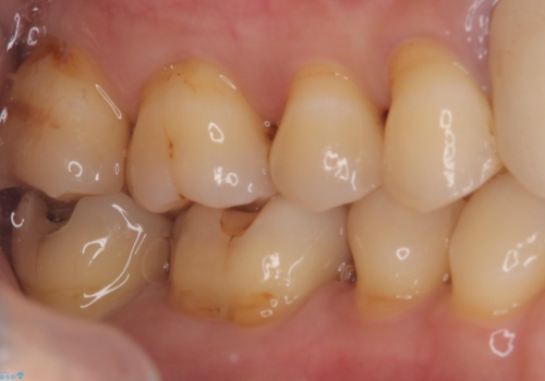
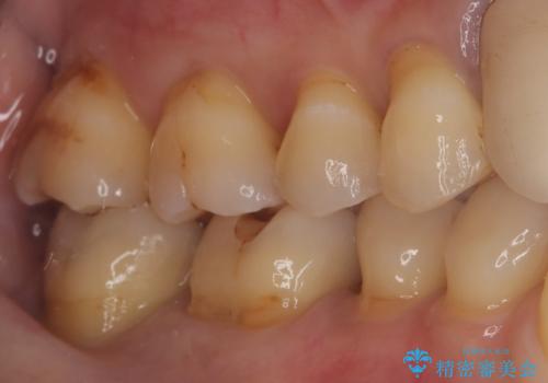
今回残存歯質量から破折のリスクを説明し、クラウンでのやり替えも提案しましたが歯質切削量が多くなることから一度インレーで様子を見ることとなりました。
セラミックインレーセット時はラバーダム防湿を行っています。
セラミック治療の注意事項(リスク・副作用など)
- 天然歯を削ります
- 硬い素材は天然歯を傷つけてしまう場合があります
- かみ合わせや歯ぎしりが強すぎる方はセラミックが割れてしまう可能性があります
- 自費診療(保険適用外治療)となります
当サイトの内容、テキスト、画像等の無断転載、複製、複写、盗用を固く禁じます。











