症例詳細
Case detail
【セラミックインレー】詰め物が欠けた
治療症例の内容
- 診療科目
- 治療カテゴリ
- 担当医
- 町田睦月(ドクタープロフィール)
- 患者様
- 50代男性
- 治療期間
- 1ヶ月
- 治療回数
- 2-5回
- 治療計画
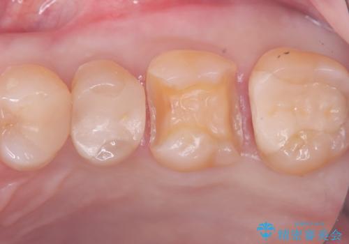
- 主訴:詰め物が欠けてしまった。
歯冠色インレーが一部欠けてしまい、他院にて部分的に樹脂のコーティング剤を付けてもらっている状態でした。
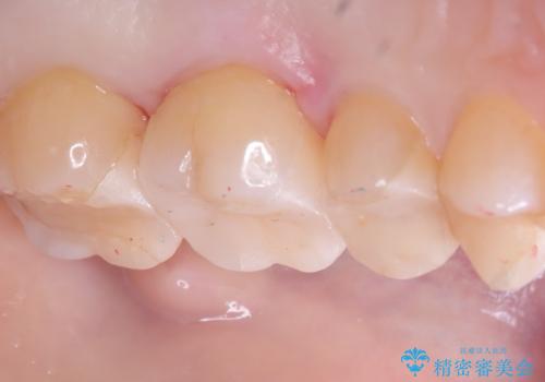
欠けている大きさが大きかったため、やり替えを提案しセラミックインレーでのやり替えとなりました。
- 費用(概算)
- 77,000円費用は治療当時の料金となります
治療について
他院にてセットしたセラミックインレーの一部が研磨では対応できない程大きく欠けてしまっていたため、やり替えとなりました。再度欠けぬよう、歯質を削り厚みを確保しています。
セラミック治療の注意事項(リスク・副作用など)
- 天然歯を削ります
- 硬い素材は天然歯を傷つけてしまう場合があります
- かみ合わせや歯ぎしりが強すぎる方はセラミックが割れてしまう可能性があります
- 自費診療(保険適用外治療)となります
当サイトの内容、テキスト、画像等の無断転載、複製、複写、盗用を固く禁じます。








