症例詳細
Case detail
最小限の来院回数で歯並びを改善:インビザライン治療
治療症例の内容
- 診療科目
- 治療カテゴリ
- 担当医
- 患者様
- 30代女性
- 矯正装置
- インビザライン治療
- 治療期間
- 2年
- 治療回数
- 5-10回
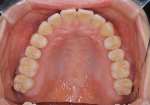
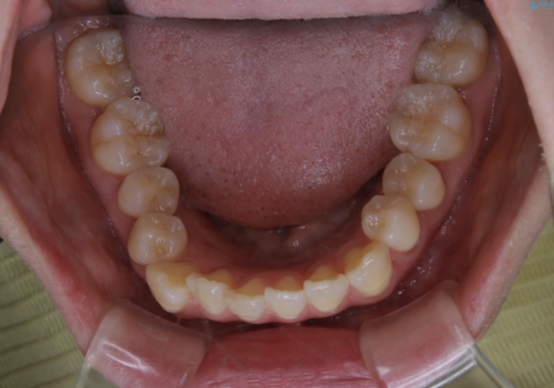
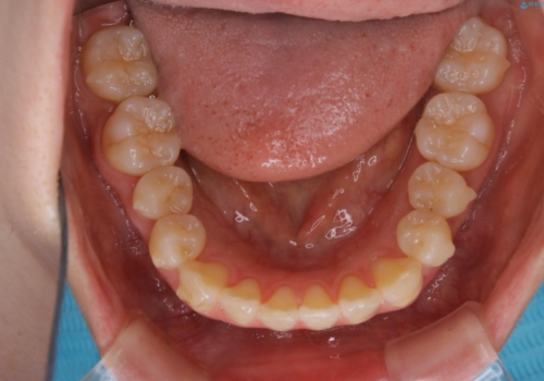
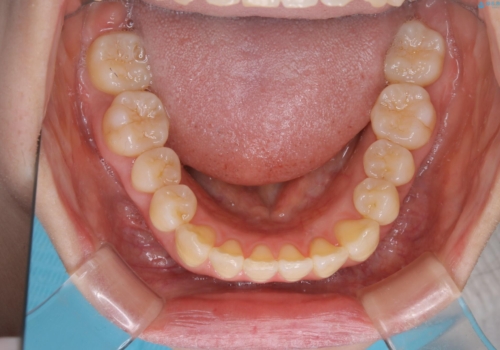
- 治療計画
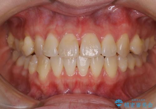
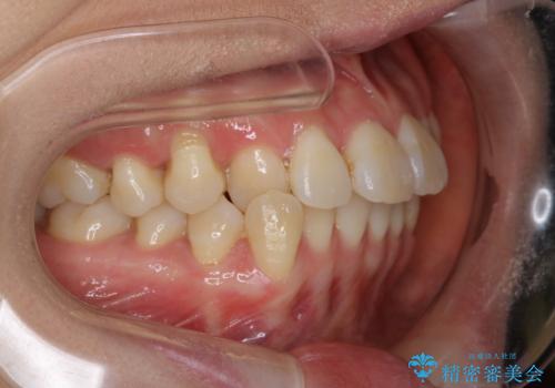
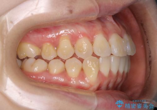
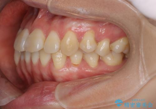
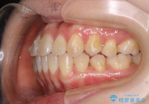
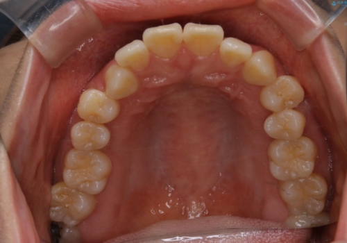
- 前歯のがたつきが気になるとご相談にいらした方です。右側前歯部のクロスバイトの他、左側にもシザーズバイトが認められたため、インビザラインにて治療を行いました。出産直後のため、ご自身の時間がなかなか取れないとの事で、最小限の来院回数で治療を勧められるように計画しました。
- 費用(概算)
- 84万円(税込み)費用は治療当時の料金となります
治療について
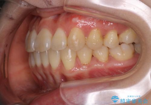
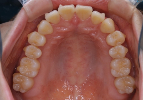
患者様ご自身で使用時間をしっかり管理して頂くことを条件に、最低限の来院回数で治療を進めていきました。20時間以上の使用を厳守して頂けたことで、少ない来院回数にて治療を終了することが出来ました。前よりも噛みやすくなったと大変喜んでいただけました。
マウスピース矯正の注意事項(リスク・副作用など)
- 口腔内・歯並びの状態によっては対応できない場合があります
- マウスピース型矯正装置の長時間装着(1日20時間以上)が必須です
- 治療計画通りに進めるためには、患者様の意志が重要になります
- 矯正治療後の保定が不十分だと後戻り(元の位置に戻ろうとする動き)をします
- 薬機法対象外の矯正歯科装置のため医薬品副作用被害救済制度の対象外となる場合があります
- 自費診療(保険適用外)となります
当サイトの内容、テキスト、画像等の無断転載、複製、複写、盗用を固く禁じます。



















