症例詳細
Case detail
奥歯の部分入れ歯治療
治療症例の内容
- 担当医
- 藤巻太一朗(ドクタープロフィール)
- 患者様
- 50代女性
- 治療期間
- 2ヶ月
- 治療回数
- 2-5回
- 治療計画
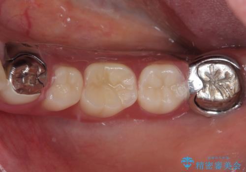
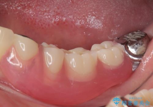
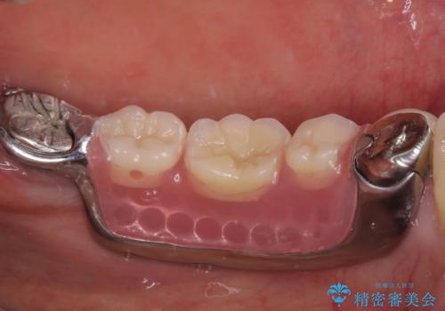
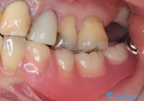
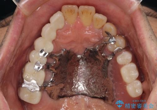
- 奥歯の欠損部の補綴治療を希望して来院された患者様です。
臼歯3本が欠損していましたが、親知らずが残っていたため、中間欠損(欠損部の前後に歯が残っている欠損形態)であったため、部分入れ歯による補綴治療を行うこととしました。
以前作った入れ歯は厚みが気になり装着できなかったとのことで、金属を多く使用して厚みを軽減した入れ歯を製作することとしました。
- 費用(概算)
- 治療費の目安: 22万円(税込)費用は治療当時の料金となります
治療について
当初はインプラントによる補綴治療を希望されていましたが、費用面でまずは入れ歯にて補綴治療を行うこととしました。
入れ歯特有の異物感が気になり続ける場合には、インプラント治療を行う予定です。
入れ歯の注意事項(リスク・副作用など)
- ブリッジやインプラントと比較して、色が合いづらい、見た目の違和感があります
- ブリッジやインプラントと比較して、話しにくい、舌が当たる等の違和感があります
- 慣れるまで微調整で何度か通って頂くことがあります
- 就寝時や食後に毎回取り外して、清掃する必要があります
- 自費診療(保険適用外)となります
当サイトの内容、テキスト、画像等の無断転載、複製、複写、盗用を固く禁じます。











