症例詳細
Case detail
歯のインプラント治療|1回の手術で負担を軽減し、自然な噛み心地を再現
治療症例の内容
- 診療科目
 
- 治療カテゴリ
 
- 担当医
 - 河口智英(ドクタープロフィール)
 
- 患者様
 - 30代女性
 
- 治療期間
 - 6ヶ月
 
- 治療回数
 - 2-5回
 
- 治療計画
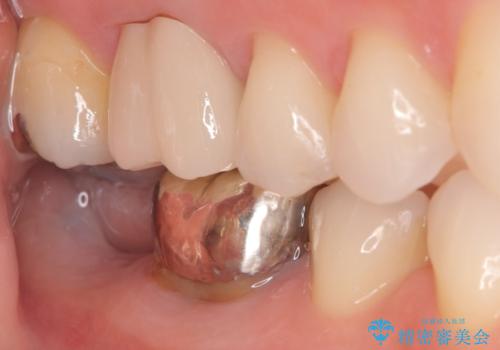
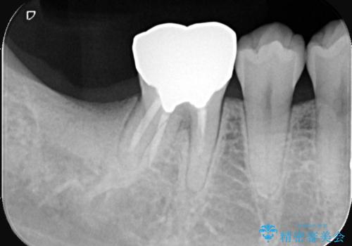
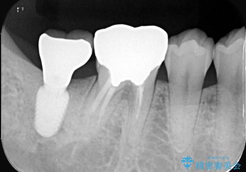
 - 患者様は、奥歯を失ったことで「しっかり噛めるようになりたい」とのご希望で来院されました。ブリッジや入れ歯ではなく、インプラントによる治療を希望されたため、精密検査を実施。骨の状態が良好であったため、1回法(1回の手術でインプラント埋入とヒーリングアバットメント装着を同時に行う方法)を選択しました。これにより、外科的負担を軽減しながら、治療期間の短縮も図ることができました。
 
- 費用(概算)
 - 45万円費用は治療当時の料金となります
 
治療について
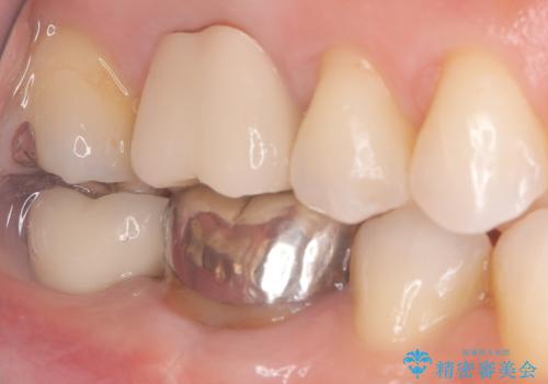
手術は1回で完了し、局所麻酔下でインプラントを埋入した後、ヒーリングアバットメントを装着。術後の腫れや痛みも少なく、患者様はスムーズに日常生活へ戻ることができました。約3ヶ月の治癒期間を経て、セラミッククラウンをセット。見た目の美しさはもちろん、天然歯に近い噛み心地を実現しました。患者様からは「違和感なくしっかり噛める」とご満足の声をいただきました。
インプラント治療の注意事項(リスク・副作用など)
- 外科手術のため、術後に痛みや腫れ、違和感を伴います
 - メンテナンスを怠ったり喫煙により、お口の中に大きな悪影響を及ぼすインプラント周囲炎等にかかる可能性があります
 - 糖尿病、肝硬変、心臓病等の場合、インプラント治療ができない可能性があります
 - 高血圧、貧血・不整脈等の場合、インプラント治療後に治癒不全を招く可能性があります
 - 自費診療(保険適用外治療)となります
 
当サイトの内容、テキスト、画像等の無断転載、複製、複写、盗用を固く禁じます。

                      
                                                          








