症例詳細
Case detail
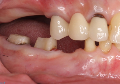
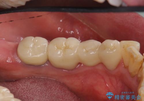
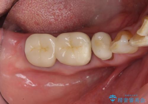
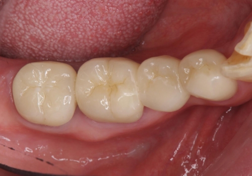
70代女性 状態の悪い歯を抜歯して、奥歯をブリッジに
治療症例の内容
- 診療科目
- 治療カテゴリ
- 担当医
- 井上季実子(ドクタープロフィール)
- 患者様
- 70代女性
- 治療期間
- 5ヶ月
- 治療回数
- 10-30回
- 治療計画
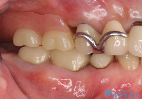
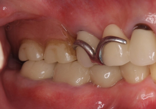
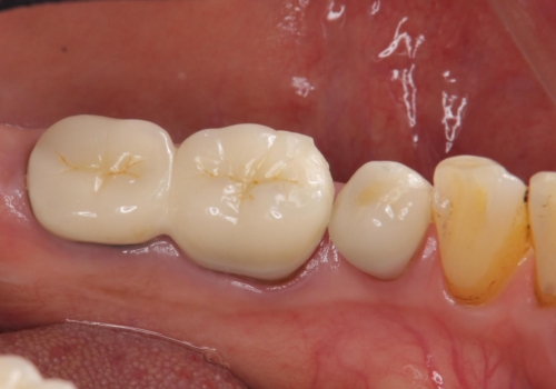
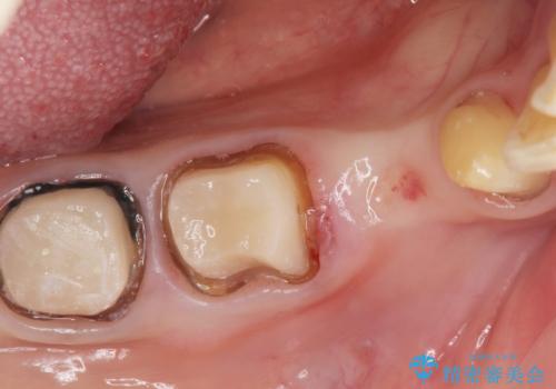
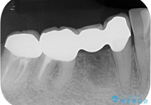
- 他院で右下小臼歯が保存不可能と言われ来院。当院の判断でも残念ながら抜歯となり、欠損部は抜歯後ブリッジにしました。右下奥2本が連結されていたため、そこは各々切り離した形で被せ物のやり替えも行っています。
- 費用(概算)
- 約60万円 右下④5⑥:ジルコニアクラウンブリッジ 11万円×3 仮歯 1万円×3 根管治療費用別途費用は治療当時の料金となります
治療について
抜歯後3か月ほど仮歯で生活していただき、欠損部の歯肉の状態が安定してからブリッジを入れています。
セラミック治療の注意事項(リスク・副作用など)
- 天然歯を削ります
- 硬い素材は天然歯を傷つけてしまう場合があります
- かみ合わせや歯ぎしりが強すぎる方はセラミックが割れてしまう可能性があります
- 自費診療(保険適用外治療)となります
当サイトの内容、テキスト、画像等の無断転載、複製、複写、盗用を固く禁じます。













