症例詳細
Case detail
冷たいものがしみる 歯肉移植術で根面被覆
治療症例の内容
- 診療科目
- 治療カテゴリ
- 担当医
- 藤巻太一朗(ドクタープロフィール)
- 患者様
- 30代女性
- 治療期間
- 5ヶ月
- 治療回数
- 2-5回
- 治療計画
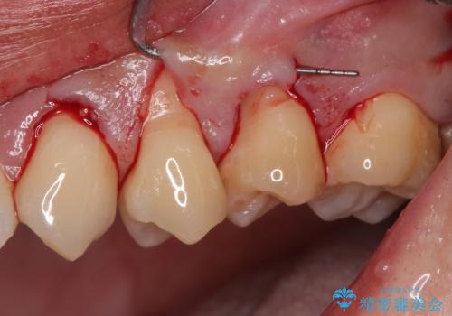
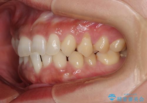
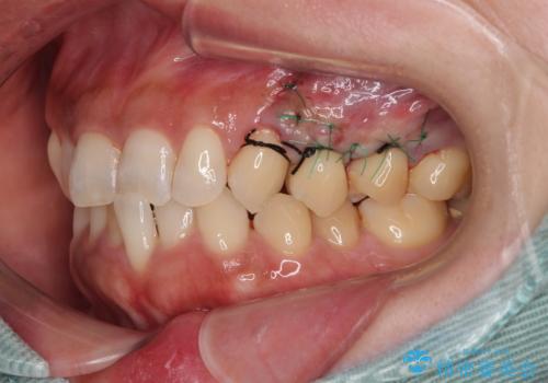
- 食いしばりと強いブラッシングにより、上顎小臼歯2本に知覚過敏を感じるようになったとのことで来院された患者様です。
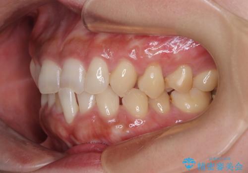
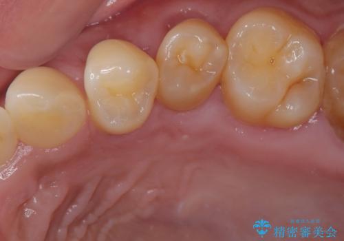
歯肉退縮により歯根部が露出し、冷たい飲み物に痛みを感じる状態でした。
根面被覆を目的として歯肉移植術を行うこととしました。
- 費用(概算)
- 治療費の目安: 18万円(税込)費用は治療当時の料金となります
治療について
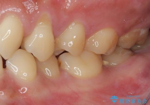
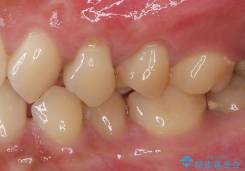
歯肉が薄い状態であったため、歯肉退縮が起こりやすいと判断された患者様でした。
根面被覆を達成するとともに、歯肉の厚みを増すことで、今後歯肉退縮を起こしにくくするよう配慮した処置としました。
歯周病治療の注意事項(リスク・副作用など)
- 外科手術のため、術後に痛みや腫れ、違和感を伴います
- 歯周組織再生治療は患者様の状態によって術後の経過が異なります(見た目が改善しない場合もあります)
- 歯周組織再生治療は自費診療(保険適用外)となります
当サイトの内容、テキスト、画像等の無断転載、複製、複写、盗用を固く禁じます。











