症例詳細
Case detail
全体的に治したい。インプラントオーバーデンチャーによる治療。
治療症例の内容
- 担当医
- 青山卓弘(ドクタープロフィール)
- 患者様
- 40代男性
- 治療期間
- 2年1ヶ月
- 治療回数
- 10-30回
- 治療計画
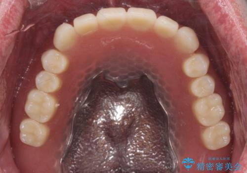
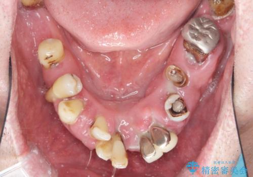
- 見た目を治したい。全体的に治したいとの事で来院。
保存できる歯がなかったので全て抜歯をし、インプラントを埋入し、磁性アタッチメントを用いたインプラントオーバーデンチャーで治療を行いました。
- 費用(概算)
- 350万円(インプラント・マグネットアバットメント×8・金属床義歯・骨造成・静脈内鎮静麻酔)費用は治療当時の料金となります
治療について
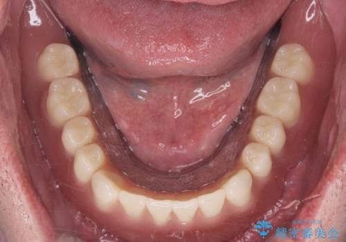
適合もよくしっかり噛めるようになりました。
見た目も改善されてとても満足して頂けました。
入れ歯の注意事項(リスク・副作用など)
- ブリッジやインプラントと比較して、色が合いづらい、見た目の違和感があります
- ブリッジやインプラントと比較して、話しにくい、舌が当たる等の違和感があります
- 慣れるまで微調整で何度か通って頂くことがあります
- 就寝時や食後に毎回取り外して、清掃する必要があります
- 自費診療(保険適用外)となります
静脈内鎮静法の注意事項(リスク・副作用など)
- 回復後も多少眠気が残る可能性があります
- 治療中の記憶が残る場合があります
- 意識が完全になくなることはないため、2時間程度の治療で適応となります
- 静脈穿刺時に痛みがあります
- 治療当日は乗り物の運転は控える必要があります
- 自費診療(保険適用外)となります
外科処置の注意事項(リスク・副作用など)
- 外科手術のため、術後に出血、痛みや腫れ、違和感を伴います
- 口腔内の状態によっては適応できないことがあります
保険治療の注意事項(リスク・副作用など)
- 保険医が保険医療機関において健康保険法、医師法、医療法等の各種関係法令の規定を遵守し、『療養担当規則』の規定を遵守し、医学的に妥当適切な診療を行い、診療報酬点数表に定められたとおりに請求を行っています
- 使用する材料・素材や治療方法に制約があります
- 健康保険適用となります
その他の注意事項(リスク・副作用など)
- 担当歯科医師、歯科衛生士又は医院スタッフから受けた説明・注意事項をよくご確認ください
- 医療を提供するに当たり、適切な説明を行い、患者様の十分な理解を得るよう努めております
当サイトの内容、テキスト、画像等の無断転載、複製、複写、盗用を固く禁じます。



















