症例詳細
Case detail
インプラント治療
治療症例の内容
- 治療カテゴリ
- 担当医
- 青山卓弘(ドクタープロフィール)
- 患者様
- 20代女性
- 治療期間
- 1年8ヶ月
- 治療回数
- 5-10回
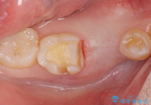
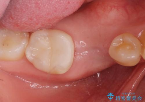
- 治療計画
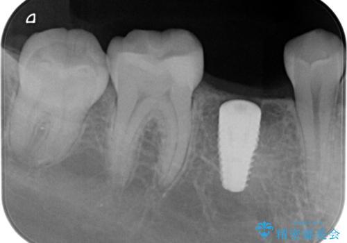
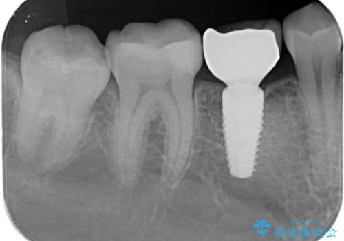
- 過去に抜けてしまった歯のところにインプラントを入れたいとの事で来院。
CTで確認したところ骨の高さや厚みがインプラント埋入できる状態でしたのでインプラント治療を行いました。
併用して銀歯も気になるとの事でしたのでセラミック治療も行いました。
- 費用(概算)
- インプラント体、アバット、仮歯、ジルコニアクラウン・42.9万円 e-maxインレー・7.7万円 費用は治療当時の料金となります
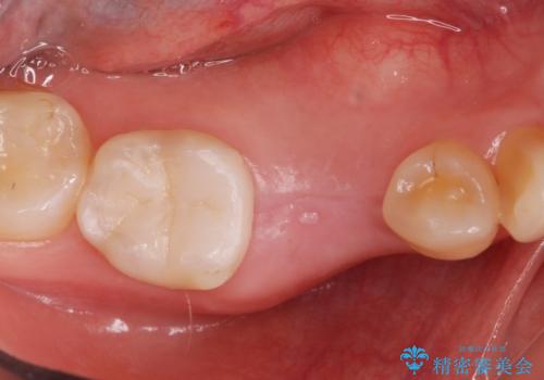
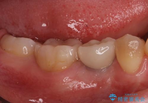
治療について
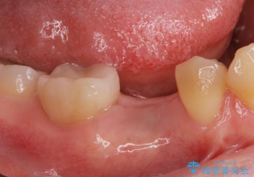
適合の良いセラミックが入りました。
外科処置の注意事項(リスク・副作用など)
- 外科手術のため、術後に出血、痛みや腫れ、違和感を伴います
- 口腔内の状態によっては適応できないことがあります
インプラント治療の注意事項(リスク・副作用など)
- 外科手術のため、術後に痛みや腫れ、違和感を伴います
- メンテナンスを怠ったり喫煙により、お口の中に大きな悪影響を及ぼすインプラント周囲炎等にかかる可能性があります
- 糖尿病、肝硬変、心臓病等の場合、インプラント治療ができない可能性があります
- 高血圧、貧血・不整脈等の場合、インプラント治療後に治癒不全を招く可能性があります
- 自費診療(保険適用外治療)となります
その他の注意事項(リスク・副作用など)
- 担当歯科医師、歯科衛生士又は医院スタッフから受けた説明・注意事項をよくご確認ください
- 医療を提供するに当たり、適切な説明を行い、患者様の十分な理解を得るよう努めております
セラミック治療の注意事項(リスク・副作用など)
- 天然歯を削ります
- 硬い素材は天然歯を傷つけてしまう場合があります
- かみ合わせや歯ぎしりが強すぎる方はセラミックが割れてしまう可能性があります
- 自費診療(保険適用外治療)となります
当サイトの内容、テキスト、画像等の無断転載、複製、複写、盗用を固く禁じます。




















