症例詳細
Case detail
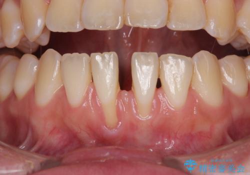
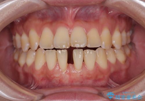
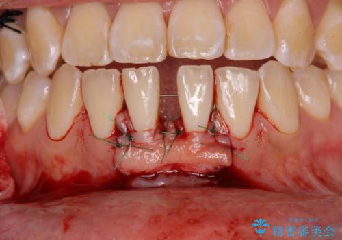
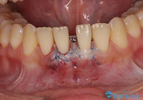
半分以上歯根が見えている 歯肉移植による根面被覆術
治療症例の内容
- 診療科目
- 治療カテゴリ
- 担当医
- 藤巻太一朗(ドクタープロフィール)
- 患者様
- 30代女性
- 治療期間
- 8ヶ月
- 治療回数
- 5-10回
- 治療計画
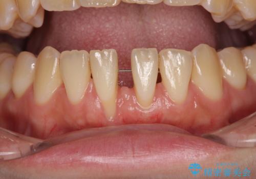
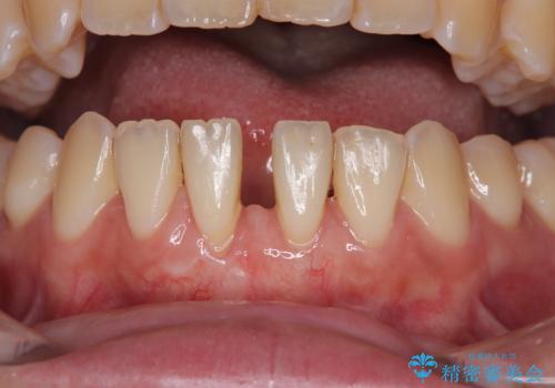
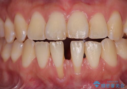
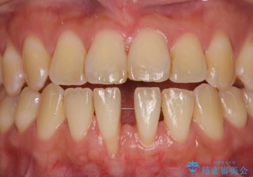
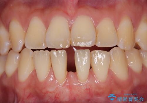
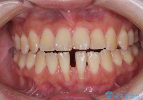
- 歯肉退縮により、下顎前歯の歯根の大半が露出していることを気にして来院された患者様です。
矯正治療の後戻りを気にして近医に矯正治療の相談をされたそうですが、歯肉の状態が悪いことを理由に断られてしまったとのことでした。
将来の矯正治療も視野に入れ、歯肉移植術による歯根面の被覆を図ることとしました。
- 費用(概算)
- 治療費の目安: 30万円(税込)費用は治療当時の料金となります
治療について
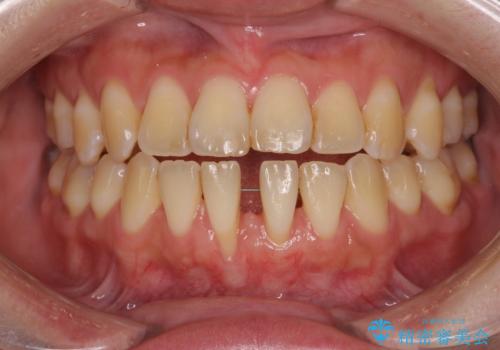
矯正治療の後戻り(前歯のスペース)は、舌の突出癖によるものと考えられ、患者様自身も以前から指摘されていたため、悪習癖を認識していらっしゃいました。
今後矯正治療を行う上で、舌突出癖が改善されないと、再び歯肉退縮を起こすリスクがあるため、トレーニングの徹底が必須となります。
外科処置の注意事項(リスク・副作用など)
- 外科手術のため、術後に出血、痛みや腫れ、違和感を伴います
- 口腔内の状態によっては適応できないことがあります
当サイトの内容、テキスト、画像等の無断転載、複製、複写、盗用を固く禁じます。















