症例詳細
Case detail
【セラミックインレー】歯に穴が空いている
治療症例の内容
- 診療科目
- 治療カテゴリ
- 担当医
- 町田睦月(ドクタープロフィール)
- 患者様
- 30代女性
- 治療期間
- 1ヶ月
- 治療回数
- 2-5回
- 治療計画
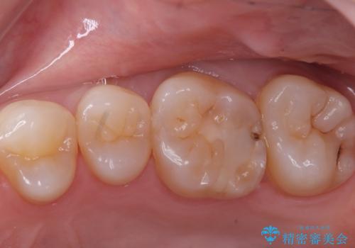
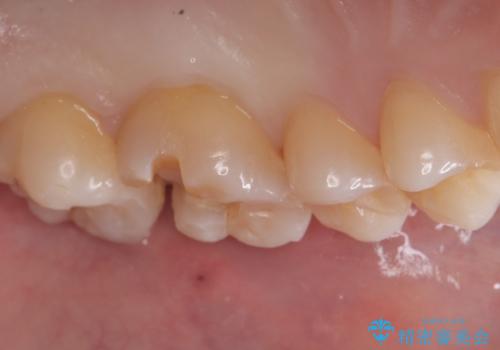
- 主訴:舌で触ったら歯に穴が空いていた。しみたりはしていない。
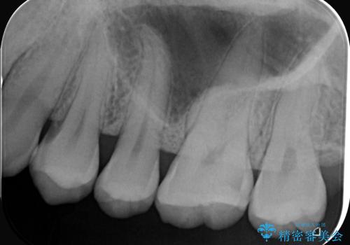
左上6番目の歯の噛む面に穴が空いていました。穴自体は小さいものでしたが、歯の中で虫歯が広がっていることが確認でき、虫歯の大きさを考慮しインレーでのやり替えとなりました。
- 費用(概算)
- 77,000円費用は治療当時の料金となります
治療について
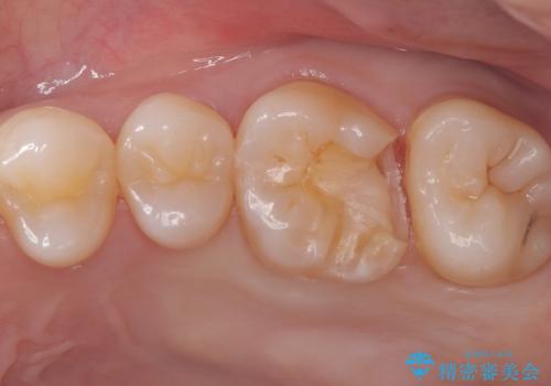
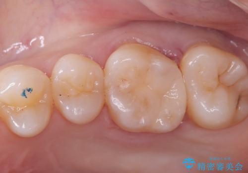
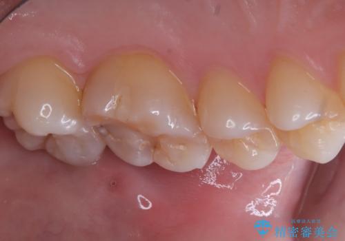
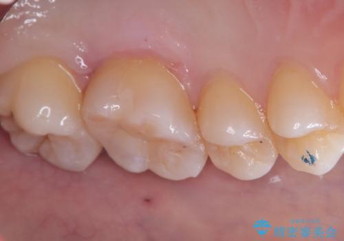
咬合面に穴が空き、歯の中でう蝕が広がっていました。この歯が過去に咬合面う蝕を経験しCR修復を受けていること、今回歯質とCRの境目からの二次う蝕になっていることを説明し、適合や材料安定性の良いセラミックインレーでのやり替えとなりました。
セット時はラバーダム防湿を行っています。
セラミック治療の注意事項(リスク・副作用など)
- 天然歯を削ります
- 硬い素材は天然歯を傷つけてしまう場合があります
- かみ合わせや歯ぎしりが強すぎる方はセラミックが割れてしまう可能性があります
- 自費診療(保険適用外治療)となります
当サイトの内容、テキスト、画像等の無断転載、複製、複写、盗用を固く禁じます。








