症例詳細
Case detail
【セラミックインレー】噛む面が青白い気がする
治療症例の内容
- 診療科目
- 治療カテゴリ
- 担当医
- 町田睦月(ドクタープロフィール)
- 患者様
- 30代女性
- 治療期間
- 1ヶ月
- 治療回数
- 2-5回
- 治療計画
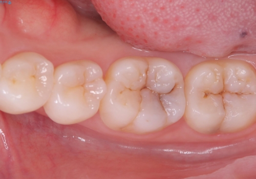
- 主訴:左下の奥歯がなんだか他の歯に比べて青白い気がする。虫歯じゃないか見てほしい。
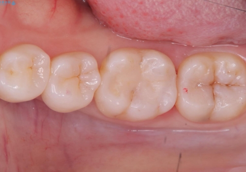
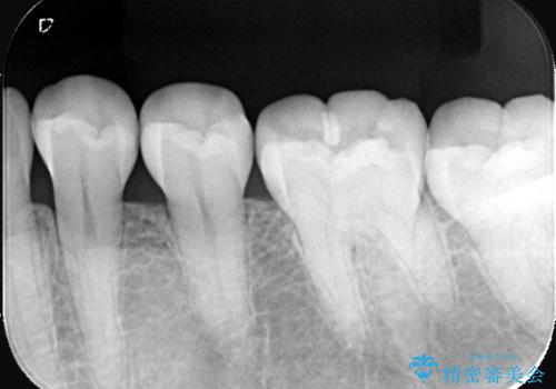
左下6番目の歯の咬合面で虫歯が進行しており、プラスチックを用いた治療とセラミックを用いた治療を提案し、適合や材料安定性の良いセラミックインレーでのやり替えとなりました。
- 費用(概算)
- 77,000円費用は治療当時の料金となります
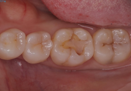
治療について
咬合面のカリエスの場合、CR修復で済ませることが多いですが、CRは経年的に劣化し二次う蝕を引き起こすリスクがあるため適合や経年劣化しにくいセラミックでの治療となりました。
セラミック治療の注意事項(リスク・副作用など)
- 天然歯を削ります
- 硬い素材は天然歯を傷つけてしまう場合があります
- かみ合わせや歯ぎしりが強すぎる方はセラミックが割れてしまう可能性があります
- 自費診療(保険適用外治療)となります
当サイトの内容、テキスト、画像等の無断転載、複製、複写、盗用を固く禁じます。






