症例詳細
Case detail
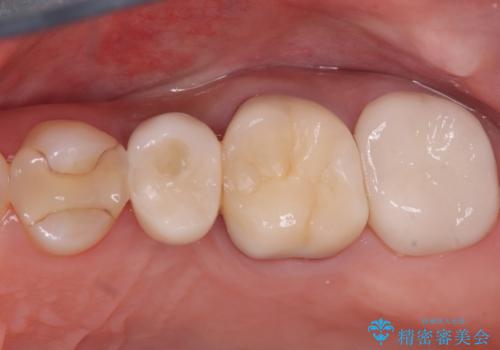
左上第一小臼歯のインプラント治療
治療症例の内容
- 診療科目
- 治療カテゴリ
- 担当医
- 河口智英(ドクタープロフィール)
- 患者様
- 40代女性
- 治療期間
- 1年
- 治療回数
- 5-10回
- 治療計画
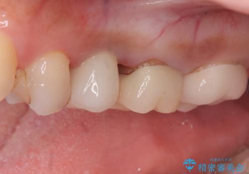
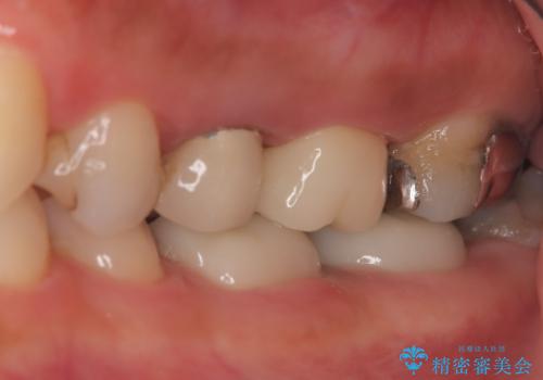
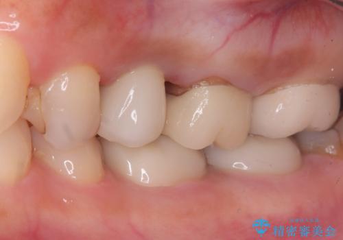
- 患者様は、左上第一小臼歯の垂直性歯根破折が確認され、抜歯が必要となりました。本来、抜歯即時埋入を適用できるケースでしたが、患者様のご都合によりブリッジとインプラントで一度悩まれるとのことで待時埋入となりました。治療計画では、上顎の骨の状態を慎重に評価し、デンサーバーを用いてドリリングを行うことで、上顎洞粘膜を傷つけずにインプラントを埋入する方法を選択しました。埋入後の安定を確保するため、術後の経過観察を慎重に行います。
- 費用(概算)
- 45万円費用は治療当時の料金となります
治療について
待時埋入では、抜歯後に骨の再生を待つ必要があり、即時埋入に比べて治療期間が長くなります。しかし、デンサーバーを使用した精密なドリリングによって、上顎洞粘膜を破らずにインプラントを埋入することができ、術後の合併症リスクを最小限に抑えることができました。インプラント埋入後は、骨との結合を待ちながらしっかりとしたケアと定期的な検診を行い、最終的な補綴物の装着に備えます。
インプラント治療の注意事項(リスク・副作用など)
- 外科手術のため、術後に痛みや腫れ、違和感を伴います
- メンテナンスを怠ったり喫煙により、お口の中に大きな悪影響を及ぼすインプラント周囲炎等にかかる可能性があります
- 糖尿病、肝硬変、心臓病等の場合、インプラント治療ができない可能性があります
- 高血圧、貧血・不整脈等の場合、インプラント治療後に治癒不全を招く可能性があります
- 自費診療(保険適用外治療)となります
当サイトの内容、テキスト、画像等の無断転載、複製、複写、盗用を固く禁じます。









