症例詳細
Case detail
【セラミックインレー】プラスチックの劣化が怖い
治療症例の内容
- 診療科目
- 治療カテゴリ
- 担当医
- 町田睦月(ドクタープロフィール)
- 患者様
- 30代女性
- 治療期間
- 1年1ヶ月
- 治療回数
- 2-5回
- 治療計画
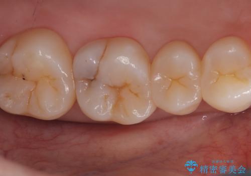
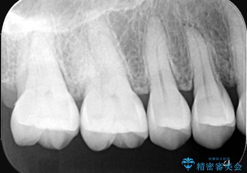
- 主訴:奥歯の噛む面が虫歯になっている。プラスチックの材料で治療可能と言われたが、劣化してまた虫歯になるのが怖いのでセラミックの詰め物にしたい。
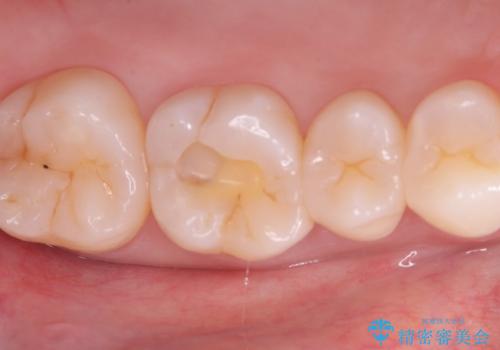
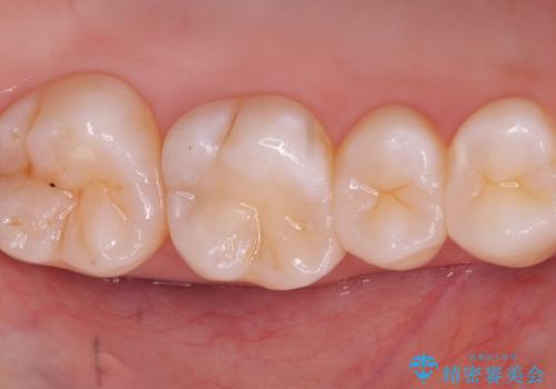
咬合面にう蝕があり、CR修復・各種インレーの特徴を説明し、審美性・適合性の良いセラミックインレーでのやり替えとなりました。
- 費用(概算)
- 77,000円費用は治療当時の料金となります
治療について
咬合面のみのう蝕の場合CR(コンポジットレジン)修復を行うことが多いですが、CRは経年劣化しやすく二次う蝕の可能性を帯びています。それに比べセラミックは着色や収縮が少なく、経年劣化しにくい材料のため、今回はセラミックインレーでの治療となりました。
セラミック治療の注意事項(リスク・副作用など)
- 天然歯を削ります
- 硬い素材は天然歯を傷つけてしまう場合があります
- かみ合わせや歯ぎしりが強すぎる方はセラミックが割れてしまう可能性があります
- 自費診療(保険適用外治療)となります
当サイトの内容、テキスト、画像等の無断転載、複製、複写、盗用を固く禁じます。






