症例詳細
Case detail
審美性と機能を改善! インビザライン矯正
治療症例の内容
- 診療科目
- 治療カテゴリ
- 担当医
- 今村大二郎(ドクタープロフィール)
- 患者様
- 40代 女性
- 矯正装置
- マウスピース(インビザライン)
- 治療期間
- 1年6ヶ月
- 治療回数
- 10-30回
- 治療計画
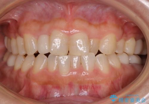
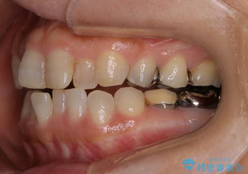
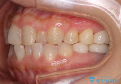
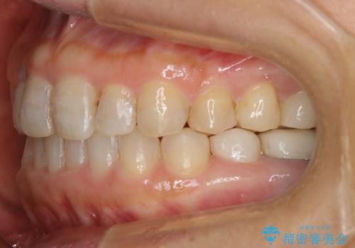
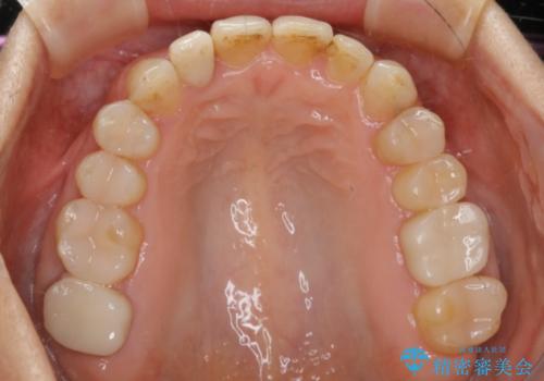
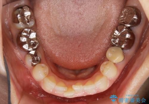
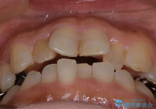
- 前歯のガタつきと噛み合わせを主訴にご来院され、矯正治療前の検査を受けていただく運びとなりました。
検査の結果、以前他の病院で治療した歯の状態が悪くなっている部分があることが分かり、矯正に先立ってまずは虫歯治療を徹底して行うこととなりました。
根の状態が悪く残せるかどうか不確定な歯などは矯正前に必ず状態を確認しておかないと、周りの歯にも影響を与え矯正治療自体に悪影響を及ぼすので精密な検査が必須となります。
当院では矯正治療だけを求めていらっしゃった患者様にも必ず問題のある歯の状態を説明し、様々な選択肢の中から納得のいく治療方法を選択していただく方針をとっております。
- 費用(概算)
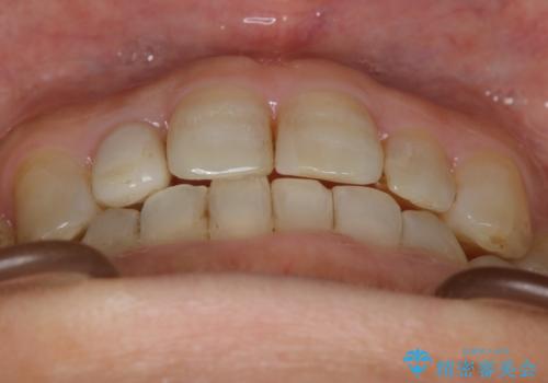
- 税込 ¥880,000- (インビザライン コンプリヘンシブパッケージ)費用は治療当時の料金となります
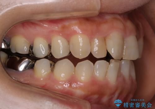
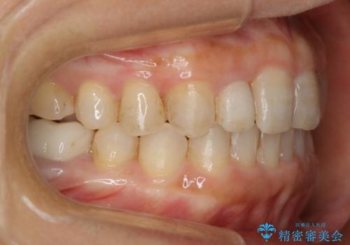
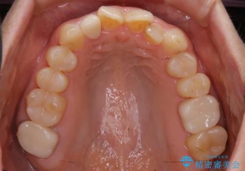
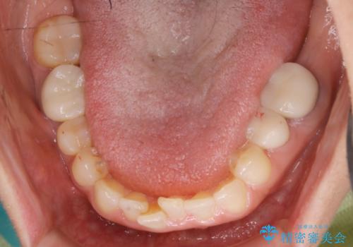
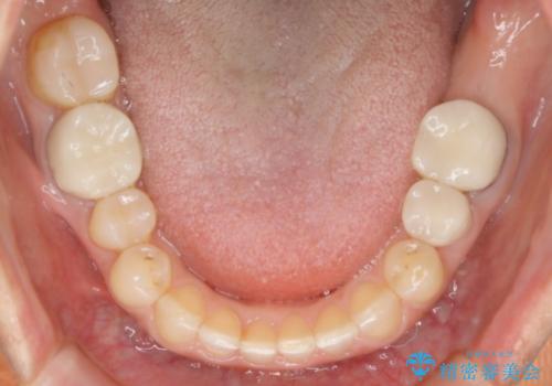
歯列弓の拡大
歯並びが悪くなる原因の一つに「歯列弓の狭窄」というものがあります。
奥歯や前歯が内側(舌側)に倒れ込んでしまったり、歯が生えてくる位置が内側になってしまうことにより歯並びのアーチが狭くなってしまうことを言います。
このような場合、歯並びのアーチを拡大してあげるだけでもガタつきを無くすためのスペースがかなり作れることがあります。
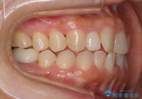
ディスキング(IPR)
歯のガタつきをとるためのスペース作りの方法の一つにディスキング(IPR)という方法があります。
歯と歯の間を一ケ所あたり最大0.5mmまでの範囲内で削ることで歯自体が少し小さくなり、それにより作られるスペースを数ヶ所分合わせることで合計で数mmの大きなスペースが作れるという方法です。
当院ではなるべく歯の機能や見た目に影響の出ないよう、作業時に拡大鏡の使用や削るタイミングの微調整を行っています。
マウスピース矯正の注意事項(リスク・副作用など)
- 口腔内・歯並びの状態によっては対応できない場合があります
- マウスピース型矯正装置の長時間装着(1日20時間以上)が必須です
- 治療計画通りに進めるためには、患者様の意志が重要になります
- 矯正治療後の保定が不十分だと後戻り(元の位置に戻ろうとする動き)をします
- 薬機法対象外の矯正歯科装置のため医薬品副作用被害救済制度の対象外となる場合があります
- 自費診療(保険適用外)となります
当サイトの内容、テキスト、画像等の無断転載、複製、複写、盗用を固く禁じます。



















