症例詳細
Case detail
【セラミックインレー】銀の詰め物が取れた
治療症例の内容
- 診療科目
- 治療カテゴリ
- 担当医
- 町田睦月(ドクタープロフィール)
- 患者様
- 30代男性
- 治療期間
- 1ヶ月
- 治療回数
- 2-5回
- 治療計画
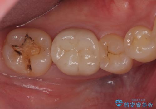
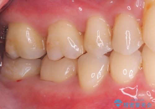
- 主訴:銀色の詰め物が取れてしまった。下の歯は笑うと見えるので、これを機に白くしたい。
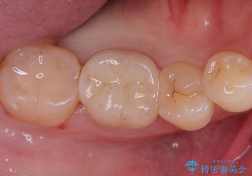
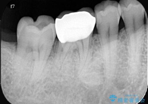
保険適用のメタルインレーが脱離しており、歯冠色で審美性、適合性の良いセラミックインレーでのやり替えを提案しました。
- 費用(概算)
- 77,000円費用は治療当時の料金となります
治療について
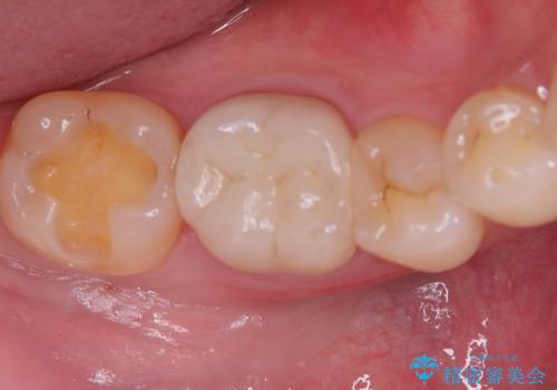
メタルインレーが脱離した咬合面の窩洞内は、う蝕を除去し、セラミックインレーの厚みの担保とメタルタトゥー部分の除去を目的に形成を行いました。
インレーセット時はラバーダム防湿を行っています。
セラミック治療の注意事項(リスク・副作用など)
- 天然歯を削ります
- 硬い素材は天然歯を傷つけてしまう場合があります
- かみ合わせや歯ぎしりが強すぎる方はセラミックが割れてしまう可能性があります
- 自費診療(保険適用外治療)となります
当サイトの内容、テキスト、画像等の無断転載、複製、複写、盗用を固く禁じます。







