症例詳細
Case detail
歯の着色にはエアフロー
治療症例の内容
- 診療科目
- 治療カテゴリ
- 患者様
- 30代女性
- 治療期間
- 1日
- 治療回数
- 1回
- 治療計画
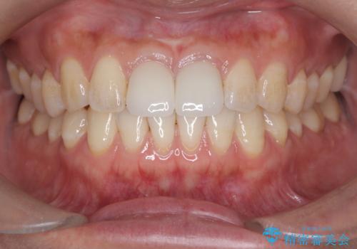
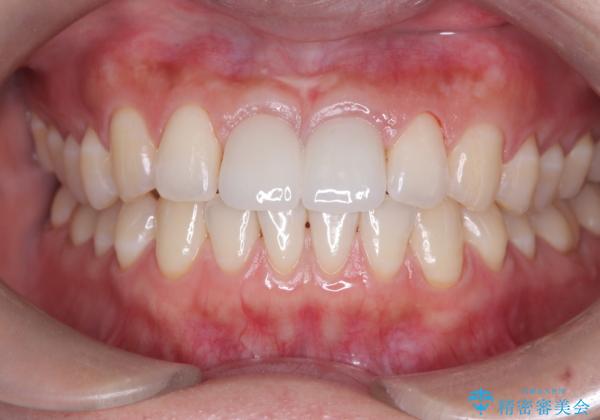
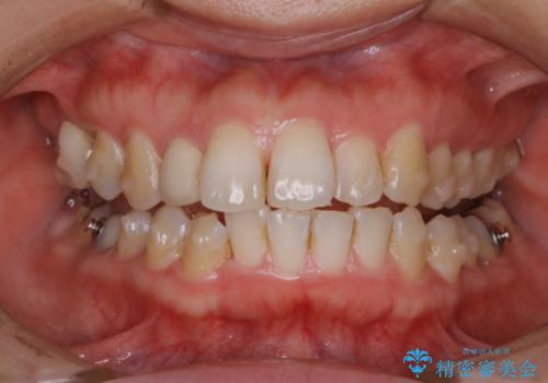
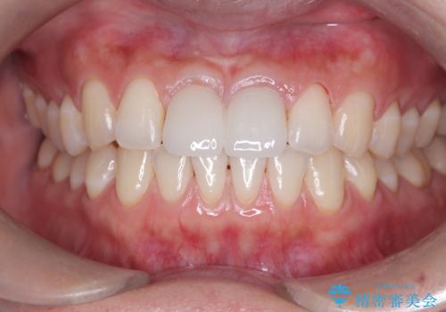
- 着色が気になるとのことで、エアフローを行いました。
- 費用(概算)
- エアフロー 7700円費用は治療当時の料金となります
治療について
ホワイトニングしたいと来院されましたが、お話を聞いていると着色が気になるとのことで、エアフローを提案させて頂き行いました。
患者様も着色が落ち、歯が白く見えると満足していただけました。
着色を落とすだけでも印象が変わりますので、オススメです。
担当歯科衛生士 三重野
PMTCの注意事項(リスク・副作用など)
- 歯を白くする目的の施術ではありません
- 保険適用外となります
当サイトの内容、テキスト、画像等の無断転載、複製、複写、盗用を固く禁じます。


