症例詳細
Case detail
奥歯の虫歯の治療
治療症例の内容
- 診療科目
- 治療カテゴリ
- 担当医
- 井上季実子(ドクタープロフィール)
- 患者様
- 20代女性
- 治療期間
- 1ヶ月
- 治療回数
- 2-5回
- 治療計画
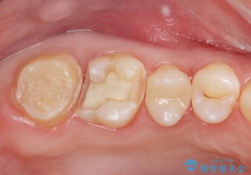
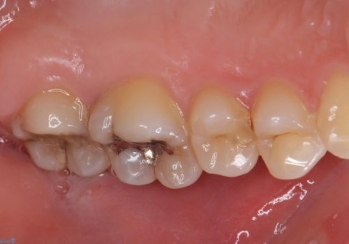
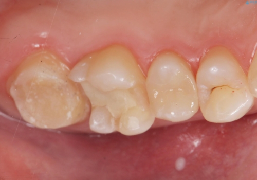
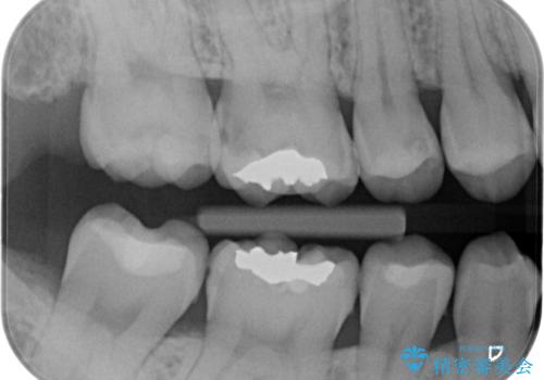
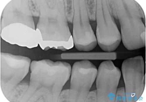
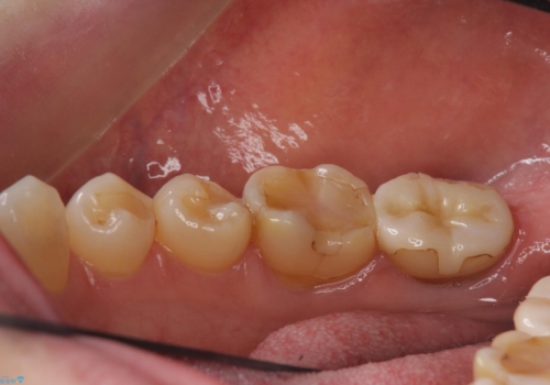
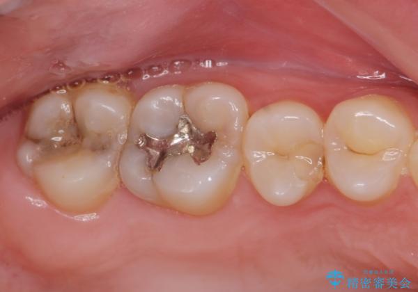
- 奥歯が虫歯になっていたため治療しました。
手前側の歯は前から見えるため、セラミックの詰め物で治療しました。
奥は高さを取るのが難しかったため薄く作れる金属(ゴールド)で治療しています。
- 費用(概算)
- 合計 26.4万円(内訳:右上7 PGAクラウン 11万円(旧料金)、右上6PGAインレー 7.7万円(旧料金)、右上5 emaxインレー 7.7万円)費用は治療当時の料金となります
治療について
今後の虫歯予防に、治療と合わせて歯磨き指導も行っているため、清掃状態も大きく改善しています。
セラミック治療の注意事項(リスク・副作用など)
- 天然歯を削ります
- 硬い素材は天然歯を傷つけてしまう場合があります
- かみ合わせや歯ぎしりが強すぎる方はセラミックが割れてしまう可能性があります
- 自費診療(保険適用外治療)となります
PGA(ゴールド)クラウン、インレーの注意事項(リスク・副作用など)
- インレーおよびクラウンは脱離するリスクがあります
- 形成量はセラミックより少ないですが、歯の形成、修復後に歯に症状が出ることがあります
- 自費診療(保険適用外治療)となります
当サイトの内容、テキスト、画像等の無断転載、複製、複写、盗用を固く禁じます。










