症例詳細
Case detail
強烈な知覚過敏 歯肉移植術で根面被覆
治療症例の内容
- 診療科目
- 治療カテゴリ
- 担当医
- 藤巻太一朗(ドクタープロフィール)
- 患者様
- 20代女性
- 治療期間
- 8ヶ月
- 治療回数
- 5-10回
- 治療計画
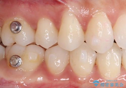
- 矯正治療により上顎小臼歯に強烈な知覚過敏を感じるようになったとのことで来院された患者様です。
歯肉退縮により歯根部が露出し、呼吸で空気を吸うだけでも痛みを感じる状態でした。
根面被覆を目的として歯肉移植術を行うこととしました。
- 費用(概算)
- 治療費の目安: 17万円(税込)費用は治療当時の料金となります
治療について
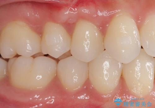
一度目の処置で知覚過敏は軽減されましたが、冷たい飲み物を飲んだ際に症状が発現するとのことで、2回目の処置を行いました。
2回目の術後は知覚過敏症状は全くなくなり、快適に過ごせるようになりました。
外科処置の注意事項(リスク・副作用など)
- 外科手術のため、術後に出血、痛みや腫れ、違和感を伴います
- 口腔内の状態によっては適応できないことがあります
当サイトの内容、テキスト、画像等の無断転載、複製、複写、盗用を固く禁じます。















