症例詳細
Case detail
子供の出っ歯 生え代わりと成長期を利用して非抜歯で矯正
治療症例の内容
- 担当医
- 井上季実子(ドクタープロフィール)
- 患者様
- 10代女性
- 矯正装置
- インビザライン
- 治療期間
- 1年9ヶ月
- 治療回数
- 10-30回
- 治療計画
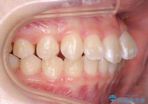
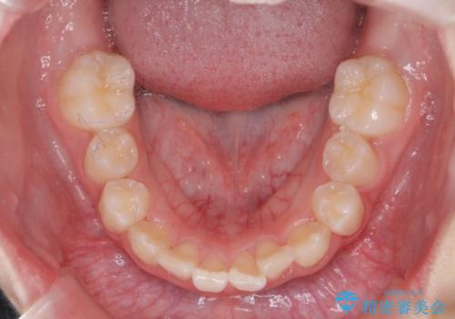
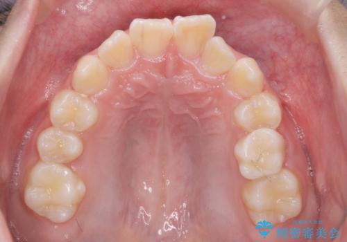
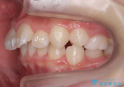
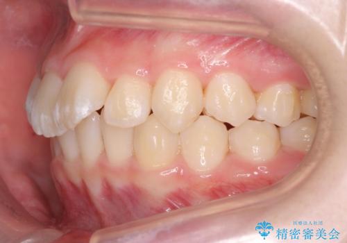
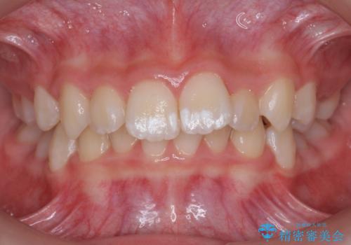
- 出っ歯を主訴に来院。
生え代わりを待ってから矯正を始めました。
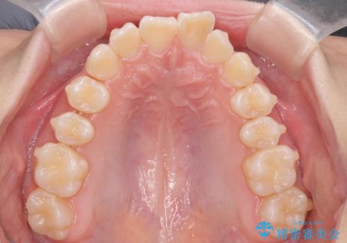
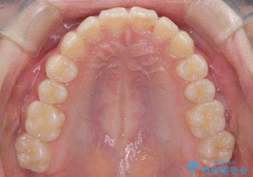
特に右側のかみ合わせがずれていたため、上の奥歯を後ろに下げています。
- 費用(概算)
- 104.5万円費用は治療当時の料金となります
治療について
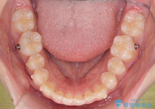
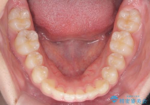
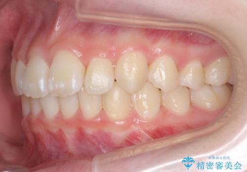
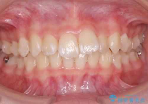
下顎も前方に成長し、前歯のかみ合わせも同時に深かったのを浅くすることができました。
矯正は成人でも可能ですが、成人矯正よりも、有利なことがたくさんあります。
10代で矯正を行うと歯の動きも動きやすく、骨の付いてくる度合いもとてもよく、歯肉退縮など副作用が少ないのでお勧めです。移動も早いため、矯正治療期間も短めです。
マウスピース矯正の注意事項(リスク・副作用など)
- 口腔内・歯並びの状態によっては対応できない場合があります
- マウスピース型矯正装置の長時間装着(1日20時間以上)が必須です
- 治療計画通りに進めるためには、患者様の意志が重要になります
- 矯正治療後の保定が不十分だと後戻り(元の位置に戻ろうとする動き)をします
- 薬機法対象外の矯正歯科装置のため医薬品副作用被害救済制度の対象外となる場合があります
- 自費診療(保険適用外)となります
当サイトの内容、テキスト、画像等の無断転載、複製、複写、盗用を固く禁じます。



















