症例詳細
Case detail
歯周病で失った歯をインプラント治療で咬合機能回復
治療症例の内容
- 診療科目
- 治療カテゴリ
- 担当医
- 大元洋佑(ドクタープロフィール)
- 患者様
- 50代女性
- 治療期間
- 1年
- 治療回数
- 10-30回
- 治療計画
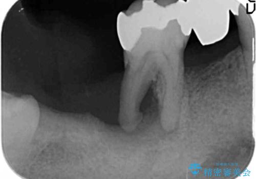
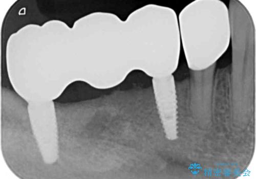
- 歯周病で失った奥歯や、グラグラしている歯の治療を希望され来院されました。
残すことのできない歯を抜去したのち、骨を造成し安定した環境下で長期的な予後を期待できるインプラント治療を計画します。
- 費用(概算)
- 275万円(インプラント×5・チタンカスタムアバットメント×5・ジルコニアクラウン×7・仮歯×7)費用は治療当時の料金となります
治療について
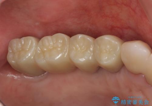
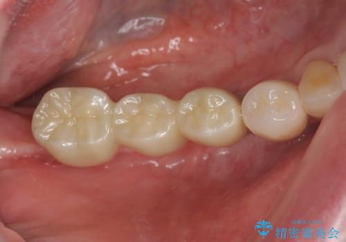
奥歯を多数失い全く噛めない期間があり、困り果てて来院されましたが、インプラント治療をおこなったことでしっかりと噛めることができるようになりまた食事を楽しめるようになったと大変喜んでいただくことができました。
インプラント治療の注意事項(リスク・副作用など)
- 外科手術のため、術後に痛みや腫れ、違和感を伴います
- メンテナンスを怠ったり喫煙により、お口の中に大きな悪影響を及ぼすインプラント周囲炎等にかかる可能性があります
- 糖尿病、肝硬変、心臓病等の場合、インプラント治療ができない可能性があります
- 高血圧、貧血・不整脈等の場合、インプラント治療後に治癒不全を招く可能性があります
- 自費診療(保険適用外治療)となります
当サイトの内容、テキスト、画像等の無断転載、複製、複写、盗用を固く禁じます。















