症例詳細
Case detail
神経を守る治療 即日セラミック修復
治療症例の内容
- 診療科目
- 治療カテゴリ
- 担当医
- 高悠莉(ドクタープロフィール)
- 患者様
- 20代男性
- 治療期間
- 治療回数
- 1回
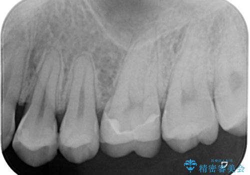
- 治療計画
- 冷たいものがしみるとご相談に来られた患者様です。一見、外からではわかりづらい部分に深めの虫歯を認めたため、神経保護の意味合いも兼ねて即日にてセラミック修復を行いました。術後も経過良好です。
- 費用(概算)
- 165,000円(税込)費用は治療当時の料金となります
セラミックについて
セラミックはプラスチック材料と異なり、材料自体が変質・劣化することはありません。しかし、局所的に過度な咬合力がかかると破折することがあります。そのため、当院では治療後も定期メンテナンスにてフォローさせていただいております。
セラミック治療の注意事項(リスク・副作用など)
- 天然歯を削ります
- 硬い素材は天然歯を傷つけてしまう場合があります
- かみ合わせや歯ぎしりが強すぎる方はセラミックが割れてしまう可能性があります
- 自費診療(保険適用外治療)となります
当サイトの内容、テキスト、画像等の無断転載、複製、複写、盗用を固く禁じます。







