症例詳細
Case detail
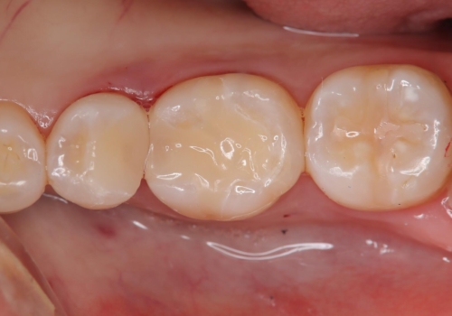
金属の詰め物が取れた セラミックインレーで修復
治療症例の内容
- 診療科目
- 治療カテゴリ
- 担当医
- 高悠莉(ドクタープロフィール)
- 患者様
- 40代男性
- 治療期間
- 1ヶ月
- 治療回数
- 2-5回
- 治療計画
- 金属の詰め物が外れたとのことで来院されました。内部の材料を除去し、虫歯が無い状態にしてから、セラミックインレーにて修復しました。周囲の歯質とも色調が調和しています。術後の経過も良好です。
- 費用(概算)
- 77,000円(税込)費用は治療当時の料金となります
治療について
治療は形成・型取りの回と、修復物接着の回と2回に分かれますが、操作のために毎回基本的には麻酔が必要となります。
セラミック治療の注意事項(リスク・副作用など)
- 天然歯を削ります
- 硬い素材は天然歯を傷つけてしまう場合があります
- かみ合わせや歯ぎしりが強すぎる方はセラミックが割れてしまう可能性があります
- 自費診療(保険適用外治療)となります
当サイトの内容、テキスト、画像等の無断転載、複製、複写、盗用を固く禁じます。





