症例詳細
Case detail
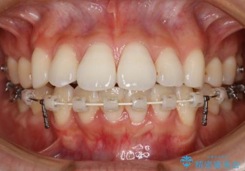
裏側装置で目立たず矯正!
治療症例の内容
- 診療科目
- 担当医
- 今村大二郎(ドクタープロフィール)
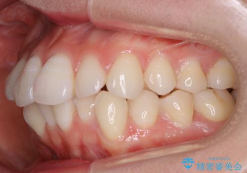
- 患者様
- 20代 女性
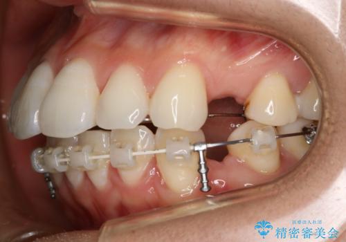
- 矯正装置
- ワイヤー(片顎舌側装置)
- 治療期間
- 2年8ヶ月
- 治療回数
- 10-30回
- 治療計画
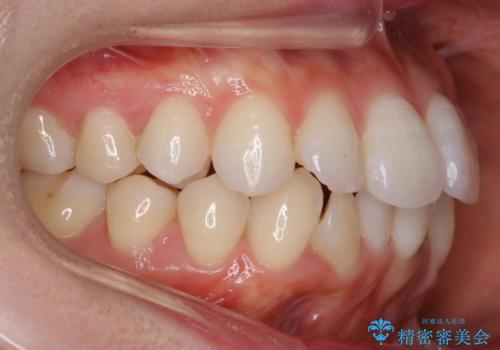
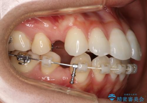
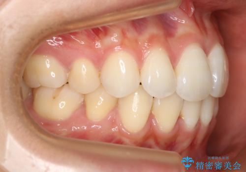
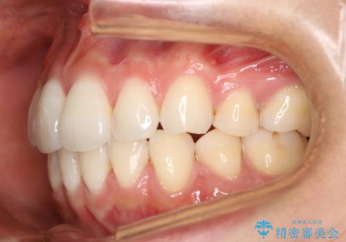
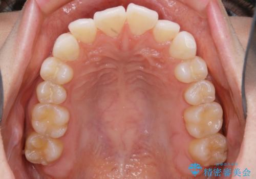
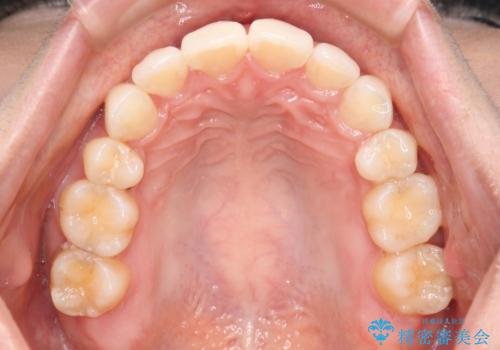
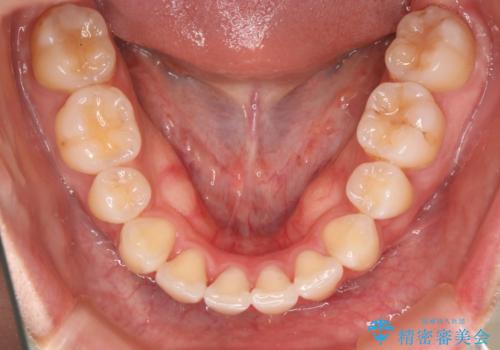
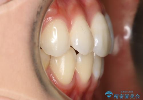
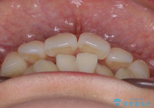
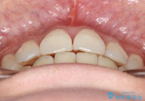
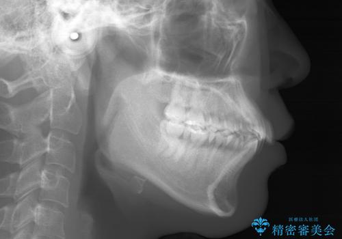
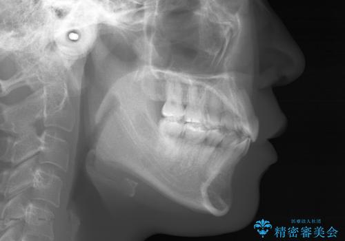
- 歯のガタつきと出っ歯感を治したいとの主訴でご来院され、ハーフリンガル装置を希望なさったため、検査を行ったうえで上下左右4番目の歯を抜歯し歯列を内側に引っ込めつつ叢生の改善を行うこととなりました。
- 費用(概算)
- 税込¥1,243,000-費用は治療当時の料金となります
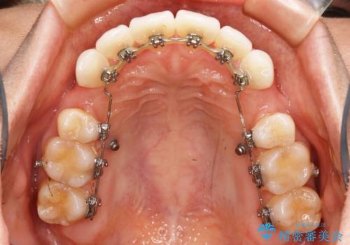
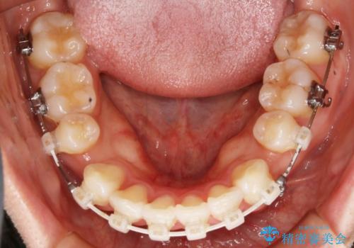
ハーフリンガル装置
ハーフリンガルとは上顎を裏側、下顎を表側のワイヤー装置で治療する場合をいいます。
フルリンガル(上下とも裏側)で治療するよりも費用が抑えられ、治療期間も伸びにくい傾向にあります。また、下顎の舌側に装置がないおかげで口内炎や発音障害もフルリンガルに比べて少ないとされています。
ただし、上下とも表の装置に比べると治療期間・費用共に劣る傾向にあります。
ワイヤー矯正の注意事項(リスク・副作用など)
- 治療中は違和感や痛みが起こることがあります
- 症状により、抜歯が必要な場合があります
- 治療中は歯磨きがしにくくなるため、虫歯や歯周病になりやすくなります
- 矯正治療後の保定が不十分だと後戻り(元の位置に戻ろうとする動き)をします
- 自費診療(保険適用外)となります
当サイトの内容、テキスト、画像等の無断転載、複製、複写、盗用を固く禁じます。





















