症例詳細
Case detail
奥歯を綺麗にしたい
治療症例の内容
- 診療科目
- 治療カテゴリ
- 担当医
- 小澤俊哉(ドクタープロフィール)
- 患者様
- 30代女性
- 治療期間
- 1ヶ月
- 治療回数
- 2-5回
- 治療計画
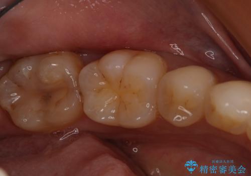
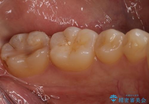
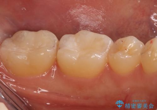
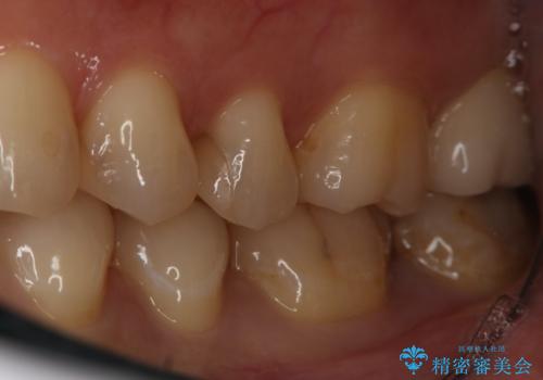
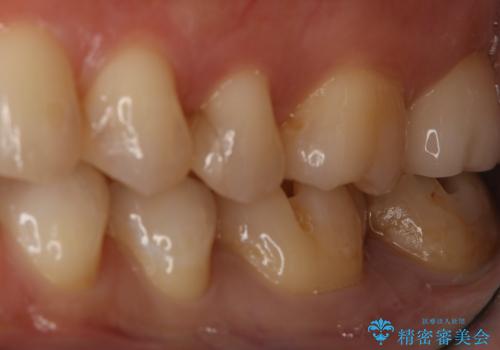
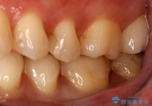
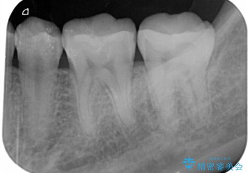
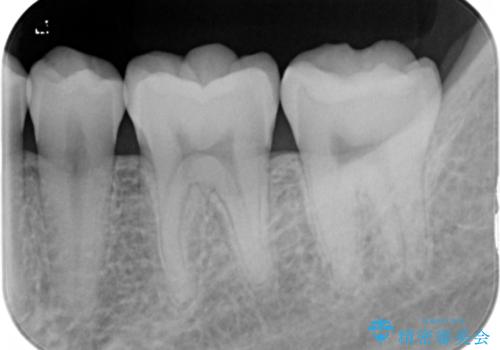
- 左下6、7番の虫歯をセラミックにて治療を希望された患者様です。
切削量を考慮してセラミックインレーを選択しました。
- 費用(概算)
- 154,000円(2本分)費用は治療当時の料金となります
治療について
7番は虫歯が深かったのでCR裏層した上で形成、印象をしています。
セラミック治療の注意事項(リスク・副作用など)
- 天然歯を削ります
- 硬い素材は天然歯を傷つけてしまう場合があります
- かみ合わせや歯ぎしりが強すぎる方はセラミックが割れてしまう可能性があります
- 自費診療(保険適用外治療)となります
当サイトの内容、テキスト、画像等の無断転載、複製、複写、盗用を固く禁じます。











