症例詳細
Case detail
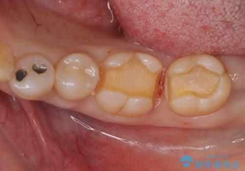
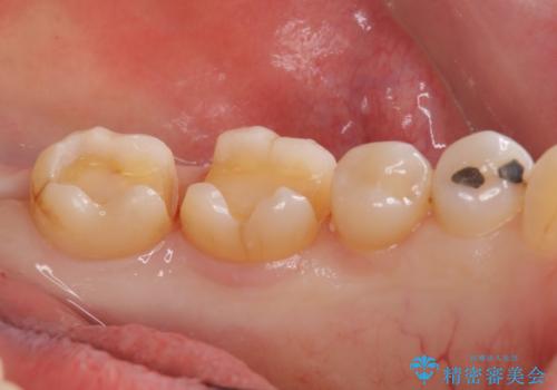
アマルガムを除去 虫歯を除去して、セラミックのつめものに
治療症例の内容
- 診療科目
- 治療カテゴリ
- 担当医
- 井上季実子(ドクタープロフィール)
- 患者様
- 50代女性
- 治療期間
- 1ヶ月
- 治療回数
- 2-5回
- 治療計画
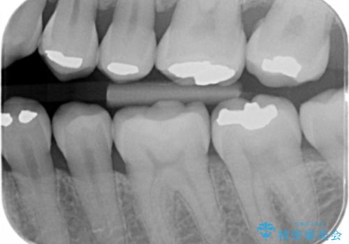
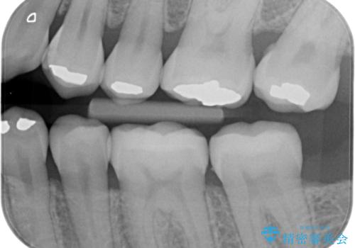
- 劣化したプラスチックとアマルガムをはずしてセラミックにしていく治療を行いました。
アマルガムは水銀が含まれている為、外したい方が増えています。
- 費用(概算)
- 左下6番、左下7番 セラミックインレー 7.7万円×2本費用は治療当時の料金となります
治療について
治療回数は2回かかります
①初回 アマルガム、古い詰め物の除去、虫歯の除去
裏打ちをしく、インレーの形として整える、シリコンを使用した歯型とり
仮の詰め物でお帰り頂きます。
②2回目 製作したセラミックインレーの接着
セラミック治療の注意事項(リスク・副作用など)
- 天然歯を削ります
- 硬い素材は天然歯を傷つけてしまう場合があります
- かみ合わせや歯ぎしりが強すぎる方はセラミックが割れてしまう可能性があります
- 自費診療(保険適用外治療)となります
当サイトの内容、テキスト、画像等の無断転載、複製、複写、盗用を固く禁じます。







