症例詳細
Case detail
八重歯 歯を抜かずにマウスピース矯正で インプラント矯正で上の奥歯を後ろに移動
治療症例の内容
- 診療科目
- 治療カテゴリ
- 担当医
- 井上季実子(ドクタープロフィール)
- 患者様
- 20代女性
- 矯正装置
- インビザライン(マウスピース矯正)
- 治療期間
- 2年6ヶ月
- 治療回数
- 30回以上
- 治療計画
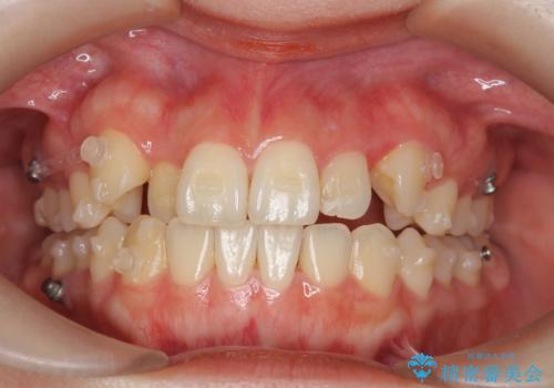
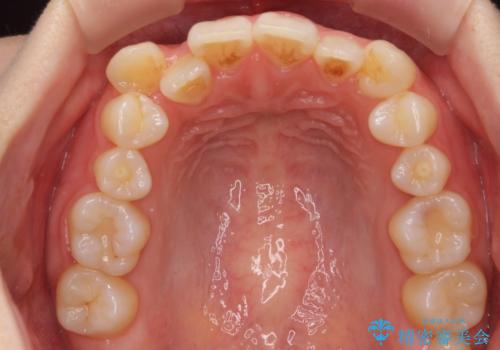
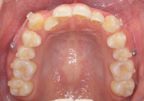
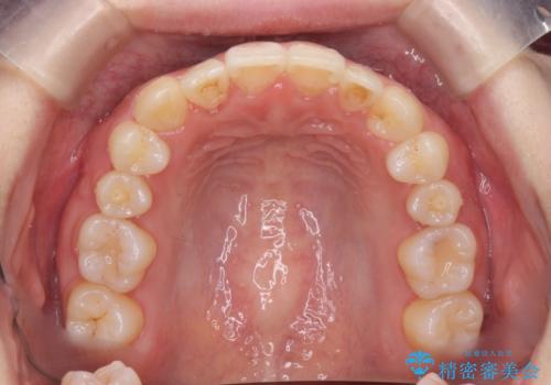
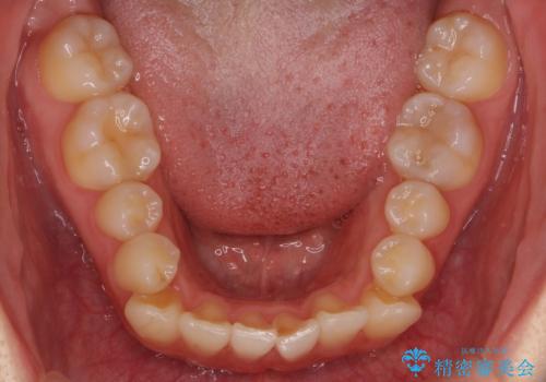
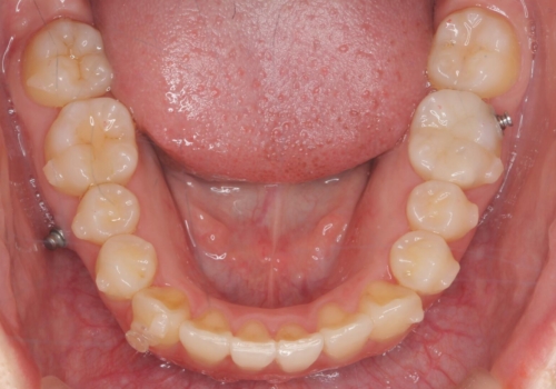
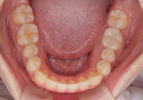
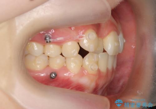
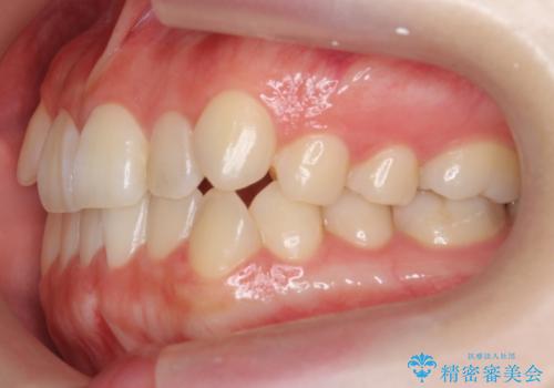
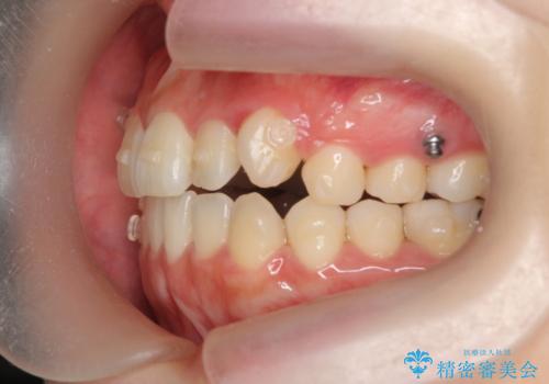
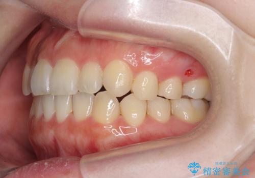
- 八重歯を主訴に来院。マウスピース矯正希望でした。
特に上の歯並びは混雑していましたが、口元がそこまで出ていないため、非抜歯での治療をおすすめしました。
八重歯を並べるスペースを確保するため、上の奥歯を後ろに移動しています。矯正用ミニスクリューを使用しています。
- 費用(概算)
- 104.5万円費用は治療当時の料金となります
治療について
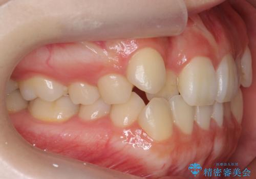
上の前から2番目の歯は後ろに引っ込んだ位置になっており(反対咬合)、下の歯と入れ替える際はワイヤー矯正を一時的にするのをおすすめしました。ただ、ワイヤーは絶対嫌とのことで時間はかかりましたがマウスピース矯正で並べました。
マウスピース矯正の注意事項(リスク・副作用など)
- 口腔内・歯並びの状態によっては対応できない場合があります
- マウスピース型矯正装置の長時間装着(1日20時間以上)が必須です
- 治療計画通りに進めるためには、患者様の意志が重要になります
- 矯正治療後の保定が不十分だと後戻り(元の位置に戻ろうとする動き)をします
- 薬機法対象外の矯正歯科装置のため医薬品副作用被害救済制度の対象外となる場合があります
- 自費診療(保険適用外)となります
当サイトの内容、テキスト、画像等の無断転載、複製、複写、盗用を固く禁じます。





















