症例詳細
Case detail
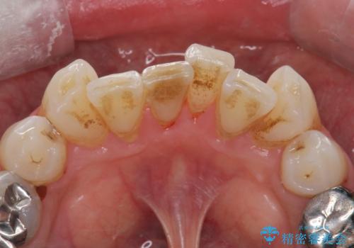
着色が気になる。
治療症例の内容
- 診療科目
- 治療カテゴリ
- 担当医
- 青山卓弘(ドクタープロフィール)
- 患者様
- 50代男性
- 治療期間
- 1ヶ月
- 治療回数
- 1回
- 治療計画
- 着色が気になるとの事で来院。
PMTC30分コースを行いました。
- 費用(概算)
- PMTC30分コース 5500円費用は治療当時の料金となります
治療について
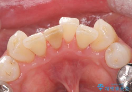
着色を綺麗に落とせました。
表面をツルツルに仕上げることで着色や汚れが付きにくくなります。
その他の注意事項(リスク・副作用など)
- 担当歯科医師、歯科衛生士又は医院スタッフから受けた説明・注意事項をよくご確認ください
- 医療を提供するに当たり、適切な説明を行い、患者様の十分な理解を得るよう努めております
PMTCの注意事項(リスク・副作用など)
- 歯を白くする目的の施術ではありません
- 保険適用外となります
当サイトの内容、テキスト、画像等の無断転載、複製、複写、盗用を固く禁じます。




