症例詳細
Case detail
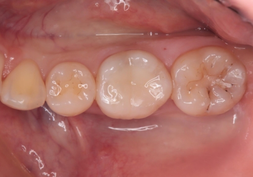
詰め物の下が黒いのが気になる セラミックインレー修復
治療症例の内容
- 診療科目
- 治療カテゴリ
- 担当医
- 高悠莉(ドクタープロフィール)
- 患者様
- 30代女性
- 治療期間
- 1ヶ月
- 治療回数
- 2-5回
- 治療計画
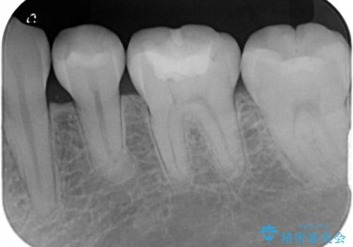
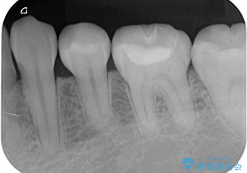
- 定期健診の際に、他院の詰め物の下が黒くなっているのが気になるとのことで、セラミックインレーで治療し直したケースです。色調も調和しており、術後の経過も良好です。
- 費用(概算)
- 77,000円(税込)費用は治療当時の料金となります
白い詰め物 レジンと比較したセラミックの利点
セラミックは化学的に安定している為、長期的に見て素材自体の変質はありません。また摩耗にも強いため、臼歯部などの咬合力が強い部分にはレジンではなくセラミックを選ぶことをお勧めしています。
セラミック治療の注意事項(リスク・副作用など)
- 天然歯を削ります
- 硬い素材は天然歯を傷つけてしまう場合があります
- かみ合わせや歯ぎしりが強すぎる方はセラミックが割れてしまう可能性があります
- 自費診療(保険適用外治療)となります
当サイトの内容、テキスト、画像等の無断転載、複製、複写、盗用を固く禁じます。





